
Ο γενετικός κώδικας παθογόνων φέρνει επανάσταση στην έρευνα για την φυματίωση
Μια νέα γενετική μέθοδος που ανέπτυξαν ερευνητές όχι μόνο προβλέπει σε ποιο αντιβιοτικό μπορεί να προβάλει αντίσταση το βακτήριο...
Μια νέα γενετική μέθοδος που ανέπτυξαν ερευνητές όχι μόνο προβλέπει σε ποιο αντιβιοτικό μπορεί να προβάλει αντίσταση το βακτήριο...
Ένα νέο τεστ για την διάγνωση φυματίωσης που ανέπτυξαν Καναδοί ερευνητές δίνει αποτελέσματα σε ώρες αντί για ημέρες ή...
Ειδικοί επιστήμονες ερευνητικών κέντρων στην Βρετανία και την Γερμανία ανακάλυψαν τον τρόπο με τον οποίο το παθογόνο βακτήριο της...
Νέα μελέτη αποκαλύπτει πώς ένα νέο μοριακό φάρμακο μπορεί να «σκοτώσει» το ανθεκτικό στα συμβατικά αντιβιοτικά βακτήριο της φυματίωσης...
Η φυματίωση φαίνεται να απειλεί και πάλι τη χώρα μας! Μια ξεξασμένη νόσο από το παρελθόν είναι ξανά απειλή...
«Ωρολογιακή βόμβα» αποτελούν για την Ελλάδα και άλλες ευρωπαϊκές χώρες τα περιστατικά ανθεκτικής φυματίωσης. Η ασθένεια όχι μόνο δεν...
Μέτρα για τον περιορισμό της εξάπλωσης της φυματίωσης ειδικά στις φυλακές έλαβαν τα συναρμόδια υπουργεία με τη συνεργασία του...
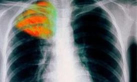
Η φυματίωση αποτελεί σήμερα μία από τις πιο θανατηφόρες νόσους στον κόσμο. Μπορεί η επίπτωση της νόσου με την ανάπτυξη...
Με επείγον έγγραφο του το υπουργείο Υγείας προς όλες τις υγειονομικές υπηρεσίες ζητά να εμβολιασθούν παιδιά με το εμβόλια...
Περισσότεροι από 2 δισεκατομμύρια άνθρωποι ( ή το 1/3 του πληθυσμού της γης )υπολογίζεται ,ότι έχουν μολυνθεί από το...
Για πρώτη φορά επιχειρήθηκε και ολοκληρώθηκε μια έρευνα – χαρτογράφηση της πόλης των Αθηνών και δημιουργήθηκε από το ΚΕΕΛΠΝΟ...
Στο βίντεο που θα παρακολουθήσετε θα δείτε φωτογραφίες θυμάτων της φυματίωσης. Η φυματίωση, μια αρχαία ασθένεια που σχεδόν είχε...
Όλο και περισσότερα είναι τα κρούσματα φυματίωσης, σε ολόκληρο τον κόσμο. Οι γιατροί μάλιστα μιλούν ανοιχτά για μια ανθεκτικότερη...
Με ιδιαίτερη ανησυχία παρακολουθούν οι επιστήμονες τα κρούσματα φυματίωσης σε Αφρική, Ασία και λατινική Αμερική να αυξάνονται. Ιδιαίτερα όμως...
Ανησυχία επικρατεί στις υγειονομικές αρχές μετά τον εντοπισμό 9 εργαζομένων σε κεντρικό εστιατόριο της Αθήνας θετικοί στο τεστ της...