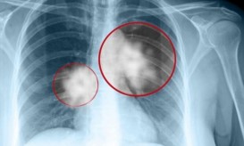
Καρκίνος πνεύμονα: Πόσο συχνός είναι και ποια είναι η πρόγνωση
Οι πιθανότητες να αναπτυχθεί, πόσο συχνός είναι στην Ελλάδα και τι βελτιώνει την πρόγνωση των ασθενών.
Οι πιθανότητες να αναπτυχθεί, πόσο συχνός είναι στην Ελλάδα και τι βελτιώνει την πρόγνωση των ασθενών.
Ο προσυμπτωματικός έλεγχος για τον πνεύμονα γίνεται με αξονική τομογραφία θώρακος χαμηλής δόσης.
Είναι η πρώτη φορά που αναφέρονται επιστημονικά δεδομένα για την μακροχρόνια επιβίωση των ασθενών.
Ο καρκίνος του πνεύμονα αποτελεί την πιο θανατηφόρα μορφή καρκίνου παγκοσμίως, προκαλώντας το θάνατο σε περισσότερους από 1,8 εκατομμύρια...
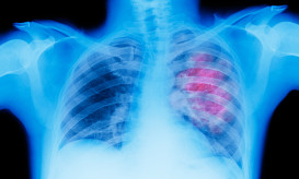
Παράταση της επιβίωσης και καλύτερη ποιότητα ζωής υπόσχονται οι νέες θεραπείες για τον καρκίνο του πνεύμονα.
Ο καρκίνος του πνεύμονα περιβάλλεται από μύθους που εμποδίζουν την έγκαιρη διάγνωση και τη θεραπεία του.
Ο καρκίνος του πνεύμονα δεν εκδηλώνεται με τον ίδιο τρόπο στα δύο φύλα, γι’ αυτό και η διάγνωσή του...
Νέες οδηγίες για τη θεραπεία των πιο δύσκολων μορφών καρκίνου του πνεύμονα εξέδωσε η Ευρωπαϊκή Εταιρεία Κλινικής Ογκολογίας (ESMO).
Μία ολόκληρη πόλη χάνεται κάθε δεκαετία από καρκίνο του πνεύμονα στη χώρα μας.
Οι εξελίξεις στην αντιμετώπιση του καρκίνου είναι ελπιδοφόρες, καθώς υπάρχουν ακόμα και μεταστατικές μορφές της νόσου στις οποίες οι...
Άκρως εντυπωσιακά είναι τα αποτελέσματα της ενδιάμεσης ανάλυσης της νέας κλινικής μελέτης για την ανοσο-ογκολογική θεραπεία, pembrolizumab, σε ασθενείς...
Ο καρκίνος του πνεύμονα αποτελεί το πιο συχνό νεόπλασμα παγκοσμίως, με σχεδόν 2 εκατομμύρια νέους ασθενείς να διαγιγνώσκονται κάθε...
Νέα φάρμακα για τον καρκίνο, που διεγείρουν το ανοσοποιητικό σύστημα, χαρίζουν πολλά και καλά χρόνια ζωής σε μερικούς ασθενείς...
Το πράσινο φως για την κυκλοφορία μιας νέας ανοσοθεραπείας για τον προχωρημένο καρκίνο του πνεύμονα και της ουροδόχου κύστεως...
Ετησίως το 3% των θανάτων από καρδιοαναπνευστικά προβλήματα συνδέονται άμεσα με τα αιωρούμενα σωματίδια, ενώ το 5% αγγίζουν οι...