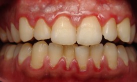
Ουλίτιδα: Ποια τρόφιμα μας προστατεύουν, σύμφωνα με νέα μελέτη
Τα ευρήματα νέας μελέτης, στην οποία εξετάσθηκαν οι διατροφικές συνήθειες χιλιάδων εθελοντών.
Τα ευρήματα νέας μελέτης, στην οποία εξετάσθηκαν οι διατροφικές συνήθειες χιλιάδων εθελοντών.
Εργαστηριακά πειράματα δείχνουν ότι το τσάι matcha μπορεί να αναστείλει την ανάπτυξη του βακτηρίου Porphyromonas gingivalis
Νέα μελέτη αποκαλύπτει ότι το κλειδί είναι ένα βακτήριο του στόματος. Ποιο όργανο μπορεί να προσβάλλει.
Θα μπορούσε να χρησιμοποιηθεί ως φυσική εναλλακτική λύση για τη θεραπεία παθήσεων του στόματος
Η χρήση οδοντικού νήματος μπορεί να βοηθήσει στην πρόληψη της δυσοσμίας, καθώς και στη διαχείριση της πλάκας
Τι θα γινόταν αν τα πρώτα σημάδια καρδιαγγειακής νόσου μπορούσαν να ανιχνευθούν μέσω ενός βασικού δείγματος σάλιου;
Τι έχουν δείξει οι έως τώρα μελέτες για τις πιθανές επιπτώσεις από την είσοδο στο αίμα των βακτηρίων που...
Γιατί τα στραβά δόντια δεν είναι ένα απλό αισθητικό πρόβλημα. Ποιοι κίνδυνοι απειλούν τα ίδια τα δόντια και το...
Όταν σκεφτόμαστε τον διαβήτη, ορισμένα συμπτώματα θεωρούνται κοινά: αυξημένη δίψα, ή πείνα, αλλαγές στην όραση, κόπωση και συχνοουρία, είναι...
Η νόσος των ούλων (ουλίτιδα) αυξάνει τον κίνδυνο για πολλά προβλήματα υγείας πέρα από την απώλεια δοντιών, όπως είναι...
Νέα μελέτη αποκαλύπτει πως οι πάσχοντες από αυτό έχουν επίσης σημαντικά αυξημένες πιθανότητες εισαγωγής στην εντατική και διασωλήνωσης. Το...
Η ουλίτιδα αυξάνει τον κίνδυνο για πολλά προβλήματα υγείας εκτός από την απώλεια δοντιών, όπως καρδιακές παθήσεις.
Η αιμορραγία των ούλων μπορεί να είναι ένα σημάδι ότι ήδη έχετε ή κινδυνεύετε να εκδηλώσετε ασθένεια των ούλων....
Τα συμπτώματα του διαβήτη τύπου 2 δεν είναι πάντα εύκολο να εντοπιστούν, επειδή δεν σας κάνουν πάντα να αισθανθείτε...
Η Παγκόσμια Ημέρα Στοματικής Υγείας γιορτάζεται παγκοσμίως κάθε χρόνο στις 20 Μαρτίου υπό την αιγίδα της Παγκόσμιας Οδοντιατρικής Ομοσπονδίας...