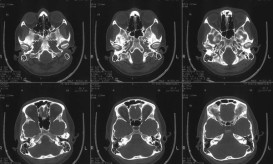
Στην Ελλάδα η τεχνολογία PCCT που συνδυάζει ακρίβεια και χαμηλή ακτινοβολία – Για πρώτη φορά στην Ευρώπη
Η χώρα μας πρωτοστατεί στην Ευρώπη με νέες τεχνολογίες στην αξονική τομογραφία, που μειώνουν την ακτινοβολία και αυξάνουν την...
Η χώρα μας πρωτοστατεί στην Ευρώπη με νέες τεχνολογίες στην αξονική τομογραφία, που μειώνουν την ακτινοβολία και αυξάνουν την...
Μη τεκμηριωμένες έως το 40% των αξονικών τομογραφιών που γίνονται στην Ευρώπη, ενώ σύμφωνα με την ίδια πρόσφατη μελέτη,...
Τι έδειξε η ανάλυση 93 εκατομμυρίων αξονικών που έγιναν το 2023. Που αποδίδουν οι επιστήμονες τα ευρήματά τους.
Το myExam Companion και η ενσωματωμένη 3D κάμερα απλοποιούν τη λειτουργία του τομογράφου
Τι δείχνει μελέτη της Διεθνούς Υπηρεσίας Έρευνας του Καρκίνου (IARC) του Παγκόσμιου Οργανισμού Υγείας.
Νέα έρευνα που δημοσιεύτηκε στην επιστημονική επιθεώρηση "JNCL Cancer Spectrum" διαπίστωσε ότι η έκθεση σε ακτινοβολία από αξονικές τομογραφίες...
Ο Έλληνας επιστήμονας που δραστηριοποιείται στην Γερμανία, καθηγητής Βασίλης Ντζιαχρήστος του Τεχνικού Πανεπιστημίου του Μονάχου, ετοιμάζει μια φορητή συσκευή...
Νέες μέθοδοι σάρωσης που «χαρτογραφούν» τις διασυνδέσεις στον εγκέφαλο θα μπορούσαν να αποβούν πολύτιμο εργαλείο για την πρόβλεψη του...
Όπως όλα δείχνουν με κομμένες πολλές δωρεάν εξετάσεις θα τη «βγάζουν» από δω και πέρα οι ασφαλισμένοι του ΕΟΠΥΥ,...
Σαν τα μανιτάρια θα αρχίσουν σιγά σιγά να ξεφυτρώνουν τα ιδιωτικά διαγνωστικά κέντρα στη χώρα μας μετά την κατάργηση...
Πλαφόν αλλά και νέες συμμετοχές στο κόστος των διαγνωστικών εξετάσεων ετοιμάζει το υπουργείο Υγείας. Νέο χαράτσι για τους ασφαλισμένους
Αν νομίζετε ότι η κυβέρνηση αναγκάζει πλέον όλους τους ασφαλισμένους του ΕΟΠΥΥ να πληρώνουν 15% από την τσέπη τους...
Αυξημένο κίνδυνο να εμφανίσουν καρκίνο του εγκεφάλου, ή λευχαιμία, μέχρι και 3 φορές πάνω, αντιμετωπίζουν τα παιδιά που κάνουν...