Ερευνητές του ΑΠΘ δημιούργησαν μικρό «τσιπ» που βοηθάει να καταλάβουμε τον εγκέφαλο καλύτερα
Μια πολύ μικρή διάφανη συσκευή, που μπορεί να βοηθήσει στην καλύτερη κατανόηση του ανθρώπινου εγκεφάλου και να μειώσει τη...
Μια πολύ μικρή διάφανη συσκευή, που μπορεί να βοηθήσει στην καλύτερη κατανόηση του ανθρώπινου εγκεφάλου και να μειώσει τη...
Το τσιπ εμφυτεύεται σε ασθενείς με παράλυση μετά από τραυματισμό. Τα νεότερα για την υγεία του πρώτου ασθενούς.
Τι είπε ο 29χρονος Noland Arbaugh, ο οποίος έμεινε τετραπληγικός το 2016 μετά από βουτιά σε ρηχά νερά.
Εμφυτεύονται μέσα στο μάτι με πρωτοποριακή μέθοδο και χαρίζουν πάλι την δυνατότητα να ξεχωρίζουν το φως από το σκοτάδι...
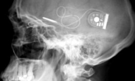
Φανταστείτε ένα μικροσκοπικό υπολογιστή ενσωματωμένο κάτω από το τριχωτό της κεφαλής σας, να καταγράφει συνεχώς τη δραστηριότητα του εγκεφάλου...
Δυο Βρετανοί που ήταν πλήρως τυφλοί, κατάφεραν να ανακτήσουν την όραση τους με μια πρωτοποριακή χειρουργική μέθοδο. Τους εμφύτευσαν...