Φυματίωση: Διάγνωση με σύστημα Τεχνητής Νοημοσύνης!
Η φυματίωση, σύμφωνα με τον Παγκόσμιο Οργανισμό Υγείας, είναι μία από τις δέκα κυριότερες αιτίες θανάτου παγκοσμίως. Το 2016 περίπου 10,4 εκατομμύρια άνθρωποι αρρώστησαν από αυτήν και 1,8 εκατομμύρια πέθαναν.
Οι ερευνητές, με επικεφαλής τον δρα Πάρας Λακχανί του Πανεπιστημιακού Νοσοκομείου Τόμας Τζέφερσον της Φιλαδέλφεια, που έκαναν τη σχετική δημοσίευση στο περιοδικό «Radiology» της Ακτινολογικής Εταιρείας της Β. Αμερικής, εκπαίδευσαν δύο διαφορετικά μοντέλα τεχνητής νοημοσύνης (AlexNet και GoogleNet), τα οποία τροφοδότησαν με ακτινογραφίες ασθενών τόσο θετικές όσο και αρνητικές για φυματίωση.
Τα εν λόγω συστήματα διαθέτουν την ικανότητα της «βαθιάς μάθησης», μια μορφή τεχνητής νοημοσύνης που επιτρέπει στους ηλεκτρονικούς υπολογιστές να μαθαίνουν από την μελέτη των δεδομένων και να βελτιώνονται. Αυτό ισχύει ιδίως για τα νευρωνικά συστήματα, που μιμούνται τη δομή του ανθρωπίνου εγκεφάλου.

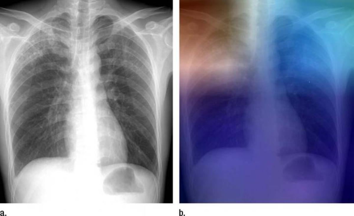
(Α) Ακτινογραφία του θώρακα παρουσιάζει την αδιαφάνεια του άνω λοβού με παθολογική ανάλυση αποδεδειγμένης ενεργής φυματίωσης. (Β) Η ίδια ακτινογραφία θώρακος με επικάλυψη θερμικής απεικόνισης μετά την ανάλυσή της μέσω του συστήματος UserNet-TA. Οι περιοχές κόκκινου και γαλαζοπράσινου στους άνω λοβούς αντιπροσωπεύουν περιοχές που ενεργοποιούνται από το βαθύ νευρικό δίκτυο. Το σκούρο μοβ φόντο αντιπροσωπεύει περιοχές που δεν ενεργοποιούνται. Αυτό δείχνει ότι το σύστημα επικεντρώνεται σε τμήματα της εικόνας όπου υπάρχει η ασθένεια (και οι δύο άνω λοβοί).
Τα δύο μοντέλα AlexNet και GoogleNet «διαφώνησαν» στο περίπου 12% των ακτινογραφιών που κλήθηκαν να διαγνώσουν. Τελικά, οι ερευνητές συνδύασαν τα δύο μοντέλα, πετυχαίνοντας ακρίβεια 96% στη διάγνωση της φυματίωσης. Όταν το σύστημα τεχνητής νοημοσύνης συνδυάσθηκε με την εμπειρία ενός πραγματικού ακτινολόγου, το ποσοστό ακρίβειας έφθασε το 99%.
Στο παρελθόν άλλα συστήματα μηχανικής (αλλά όχι βαθιάς) μάθησης είχαν ποσοστό επιτυχίας της τάξης του 80%. Οι ερευνητές σκοπεύουν να βελτιώσουν ακόμη περισσότερο το σύστημά τους.
«Υπάρχει πλέον τρομερό ενδιαφέρον για την τεχνητή νοημοσύνη εντός και εκτός του πεδίου της ιατρικής. Η σχετικά υψηλή διαγνωστική ακρίβεια των συστημάτων βαθιάς μάθησης είναι συναρπαστική», δήλωσε ο Λακχαμί. «Στόχος μας είναι να εφαρμόσουμε ένα τέτοιο διαγνωστικό σύστημα τεχνητής νοημοσύνης στον πραγματικό κόσμο, καθώς πιστεύουμε ότι μπορεί να παίξει σημαντικό ρόλο στην αντιμετώπιση της φυματίωσης», πρόσθεσε.
Από το ΑΠΕ-ΜΠΕ και το https://eurekalert.org
ΔΙΑΒΑΣΤΕ ΕΠΙΣΗΣ
Παγκόσμια Ημέρα Φυματίωσης: Μήνυμα εγρήγορσης από τον ΠΟΥ – Τα συμπτώματα της ασθένειας
Φάρμακο για το γλαύκωμα θεραπεύει την φυματίωση
ΚΕΕΛΠΝΟ: Πάνω από το 95% των θανάτων από φυματίωση σημειώνονται σε χώρες χαμηλού εισοδήματος




