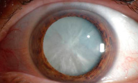
Καταρράκτης: Η ανάρρωση μετά την επέμβαση. Τι να προσέχουν οι ασθενείς, σύμφωνα με τους ειδικούς
Συστάσεις από την Αμερικανική Ακαδημία Οφθαλμολογίας. Πόσο διαρκεί η ανάρρωση. Τι να προσέχουν οι ασθενείς κάθε μετεγχειρητική ημέρα. Τι...
Συστάσεις από την Αμερικανική Ακαδημία Οφθαλμολογίας. Πόσο διαρκεί η ανάρρωση. Τι να προσέχουν οι ασθενείς κάθε μετεγχειρητική ημέρα. Τι...
Ο καταρράκτης θεωρείται νόσος των ηλικιωμένων επειδή συνήθως γίνεται αντιληπτός σε 60άρηδες και 70άρηδες. Ωστόσο μπορεί να εμφανιστεί πολύ...
Ένα νέο βρετανικό χειρουργικό ρομπότ μπορεί να κάνει επεμβάσεις ακριβείας μέσα στον φακό του ματιού, αφαιρώντας καταρράκτες. Το σύστημα...
Είναι γνωστό ότι σταγόνες από ειδικό κολλύριο μπορούν να συρρικνώσουν τον καταρράκτη σε σκύλους, οπότε γιατί να μην μπορούν...
Ο καταρράκτης είναι ο νούμερο ένας εχθρός της καλής όρασης αφού η πάθηση δεν απειλεί μόνο τους ηλικιωμένους όπως...