Επιτροπή Ανταγωνισμού: «Πράσινο» φως στην εξαγορά της Ευρωκλινικής από την Generali
Η Επιτροπή έκρινε ότι η εξαγορά δεν είναι ασύμβατη με τις απαιτήσεις λειτουργίας του ανταγωνισμού στις σχετικές αγορές όπου...
Η Επιτροπή έκρινε ότι η εξαγορά δεν είναι ασύμβατη με τις απαιτήσεις λειτουργίας του ανταγωνισμού στις σχετικές αγορές όπου...
Ανακοίνωση σχετικά με το ατυχές περιστατικό εξέδωσε η Ευρωκλινική.
Η Ευρωκλινική διαθέτει 175 νοσηλευτικές κλίνες, 12 κλίνες στην Μονάδα Εντατικής Θεραπείας (ΜΕΘ) και 11 χειρουργικές αίθουσες.
Οι νέοι χειρουργοί θα έχουν σύντομα την δυνατότητα να «μυηθούν» στις τεχνικές και τα «μυστικά» της λαπαροσκοπικής χειρουργικής και...
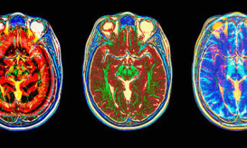
Πραγματοποιήθηκε στην Ευρωκλινική Αθηνών μια εξαιρετικά απαιτητική επέμβαση αφαίρεσης όγκου εγκεφάλου από Γαλλίδα ασθενή, από την ομάδα του Έλληνα...
Με την ανανέωση της συνεργασίας του Ομίλου Ευρωκλινικής και της ασφαλιστικής εταιρείας MetLife, οι ασφαλισμένοι με ατομικά ή ομαδικά...
Οι ιατροί και η Διοίκηση της Ευρωκλινικής Αθηνών και της Ευρωκλινικής Παίδων έχοντας συναίσθηση των οικονομικών δυσκολιών που αντιμετωπίζουν...
Το Πρότυπο Κέντρο Μαστού της Ευρωκλινικής Αθηνών θα βρίσκεται στη «γραμμή της εκκίνησης» του Greece Race for the Cure®...