Πρώτη περίπτωση μόλυνσης ανθρώπου από μύκητα που συνήθως προσβάλλει τα δέντρα
Ο μύκητας Chondrostereum purpureum προκαλεί ασθένεια των φύλλων στα φυτά: τα κάνει πρώτα να αποκτήσουν ασημί χρώμα, προτού στη συνέχεια “σκοτώσει” όλο το κλαδί.

Ο μύκητας Chondrostereum purpureum έχει προσβάλλει ένα δέντρο
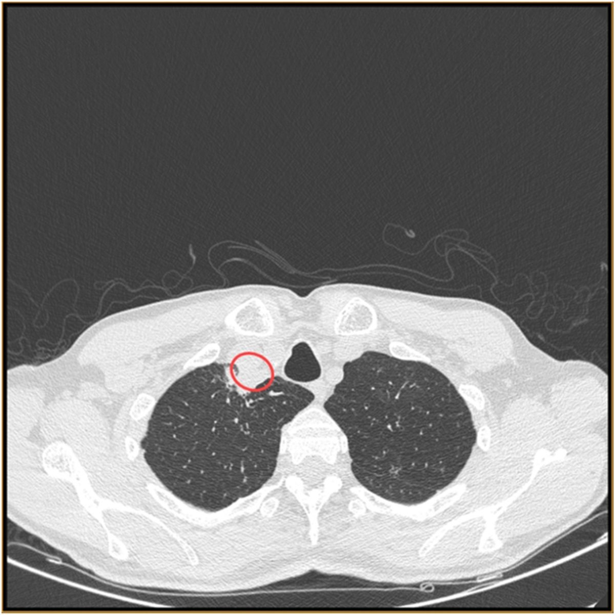
Ένας 61χρονος ασθενής από την ανατολική περιοχή της Ινδίας αναζήτησε ιατρική βοήθεια για μια σειρά από συμπτώματα, όπως βραχνάδα, κόπωση, βήχα και δυσκολία στην κατάποση. Μια ακτινογραφία θώρακος στο νοσοκομείο φαινόταν φυσιολογική, αλλά μια αξονική τομογραφία που έγινε στον λαιμό του έδειξε ένα απόστημα. Από αυτό οι γιατροί πήραν δείγμα και στάλθηκε για ανάλυση.
Αυτό αποδείχτηκε πιο δύσκολο απ’ όσο περίμεναν και μετά από αρκετές αποτυχημένες προσπάθειες εντοπισμού στελεχών μυκήτων μέσα στο πύον, το δείγμα στάλθηκε στο συνεργαζόμενο Κέντρο Αναφοράς και Έρευνας για Μύκητες Ιατρικής Σημασίας του Π.Ο.Υ.
Εκεί ανέλυσαν την αλληλουχία του DNA και το αναγνώρισαν ως τον μύκητα Chondrostereum purpureum.

Η αξονική τομογραφία έδειξε την παρουσία αποστήματος, Image credit Soma Dutta, Ujjwayini Ray/Medical Mycology Case Reports (CC by 4.0)
“Ο ασθενής αρνήθηκε ότι δούλεψε ποτέ με τέτοιο φυτικό παθογόνο”, αναφέρουν οι γιατροί που υπογράφουν την σχετική έκθεση. Εν των μεταξύ ο ίδιος ο 61χρονος έτυχε να είναι μυκητολόγος φυτών! Αλλά επιβεβαίωσε ότι δούλευε με υλικό σε αποσύνθεση και άλλους φυτικούς μύκητες για μεγάλο χρονικό διάστημα χρόνο, ως μέρος των ερευνητικών του δραστηριοτήτων.
Όπως η επιτυχημένη τηλεοπτική σειρά (μεταφορά από video game) του HBO, “The Last Of Us” μας έχει τραβήξει την προσοχή πρόσφατα, υπάρχουν μερικοί μύκητες που μπορούν να μολύνουν ανθρώπινους ξενιστές (αν και ευτυχώς δεν χρειάζεται να ανησυχούμε για τους μύκητες Cordyceps).
Διαβάστε επίσης: Cordyceps: Οι δολοφονικοί μύκητες του «The Last of Us» είναι πραγματικοί και έχουν πιθανά οφέλη για την υγεία!

Το δείγμα εμφάνισε ανάπτυξη κρεμώδους παστώδους αποικίας με χρωματισμό αργυρού χρώματος στην πίσω πλευρά μετά από 4-5 ημέρες, Image credit Soma Dutta, Ujjwayini Ray/Medical Mycology Case Reports (CC by 4.0)
“Μεταξύ των εκατομμυρίων μυκητών που υπάρχουν στο περιβάλλον, μόνο μερικές εκατοντάδες μύκητες είναι σε θέση να μολύνουν ανθρώπους και ζώα”, λένε οι συγγραφείς της έκθεσης. “Το ότι οι ασθένειες των ζώων και των ανθρώπων μπορούν να προκληθούν από φυτικά παθογόνα είναι μια νέα ιδέα που εγείρει σοβαρά ερωτήματα σχετικά με την τάση εμφάνισης μιας τέτοιας μόλυνσης σε υγιή καθώς και σε ανοσοκατεσταλμένα άτομα”.
“Εάν οι μύκητες μπορούν να ξεφύγουν από το μονοπάτι της φαγοκυττάρωσης και είναι σε θέση να αποφύγουν το ανοσοποιητικό σύστημα του ξενιστή, τότε μπορούν να καθιερωθούν ως ανθρώπινα παθογόνα.
Εκείνα τα είδη μυκήτων που είναι σε θέση να αναπτυχθούν στους 35-37 °C μπορούν γίνουν ανθρώπινα παθογόνα”.

Το παρασκεύασμα βάσης Lactophenol Cotton Blue έδειξε στρογγυλά και σωληνοειδή μυκητιακά στοιχεία, Image credit Soma Dutta, Ujjwayini Ray/Medical Mycology Case Reports (CC by 4.0)
Νέοι μύκητες έχουν κάνει αυτό το άλμα για να γίνουν ανθρώπινα παθογόνα τις τελευταίες δεκαετίες.
Ο Παγκόσμιος Οργανισμός Υγείας απαριθμεί επί του παρόντος 19 μυκητιακές απειλές για την ανθρώπινη υγεία, με τέσσερις να αναφέρονται ως “παθογόνα κρίσιμης προτεραιότητας”. Πρόκειται για τους μύκητες:
- Aspergillus fumigatus: μπορεί να σκοτώσει το 47-88% των ξενιστών του
- Candida albicans: είναι πιο κοινή μυκητίαση και σκοτώνει το 20-50% των μολυσμένων ατόμων
- Cryptococcus neoformans: έχει την τάση να μολύνει τον εγκέφαλο
- Candida Auris: ιδιαίτερα επικίνδυνος διότι είναι πολύ ανθεκτικός στα υπάρχοντα αντιμυκητιασικά φάρμακα
Διαβάστε επίσης: Candida Auris: Τα συμπτώματα μόλυνσης από τον επικίνδυνο μύκητα
Σε αυτήν την περίπτωση, η λοίμωξη πιθανότατα συνέβη επειδή ο 61χρονος απλά εργαζόταν σε κοντινή απόσταση από τον μύκητα.
Οι συγγραφείς πιστεύουν ότι και άλλοι μύκητες θα μπορούσαν να κάνουν το ίδιο άλμα.
“Η επιδείνωση της υπερθέρμανσης του πλανήτη και άλλων δραστηριοτήτων του ανθρώπου ανοίγει το κουτί της Πανδώρας για νεότερες μυκητιασικές ασθένειες. Λίγοι θερμικά δυσανεκτικοί μύκητες με παθογόνο δυναμικό μπορούν να αποκτήσουν την ικανότητα να επιβιώνουν σε θερμοκρασίες σώματος. Αυτή η απειλή μεγεθύνεται καθώς ορισμένοι μύκητες μπορούν να επωφεληθούν από μια στρατηγική φυσικής επιλογής-προσαρμογής και επομένως να προσαρμοστούν σε υψηλότερες θερμοκρασίες”, καταλήγουν οι συγγραφείς της έκθεσης.
Πηγή: https://www.iflscience.com
ΔΙΑΒΑΣΤΕ ΕΠΙΣΗΣ
Επικίνδυνος μύκητας εξαπλώνεται με ανησυχητικό ρυθμό στα αμερικανικά νοσοκομεία
Σπάνια μυκητίαση που μεταδίδεται από γάτες εντοπίστηκε για πρώτη φορά στην Ευρώπη
φωτό: iStock




