Αδένωμα υπόφυσης: Τι θα νιώσετε αν αναπτυχθεί όγκος στον εγκέφαλο – Πολύ “αθώα” συμπτώματα
Περίπου 1 στους 10 ανθρώπους θα αναπτύξει αδένωμα υπόφυσης στη διάρκεια της ζωής του. Ορισμένα αδενώματα της υπόφυσης εκκρίνουν μία ή περισσότερες ορμόνες σε υπερβολικές ποσότητες.
Ακόμη και όταν είναι μικρού μεγέθους, αυτοί οι ενδοκρινικά ενεργοί όγκοι της υπόφυσης μπορούν να προκαλέσουν ορμονικές ανισορροπίες που επηρεάζουν τις λειτουργίες του σώματος.
Οι άνθρωποι μπορούν να αναπτύξουν αδένωμα υπόφυσης σε οποιαδήποτε ηλικία.
Αδένωμα υπόφυσης: Συμπτώματα
Τα συμπτώματα του αδενώματος της υπόφυσης μπορεί να περιλαμβάνουν τα εξής:
- Πονοκέφαλος
- Προβλήματα όρασης
- Αύξηση βάρους
- Εύκολη αιμορραγία/μώλωπες
- Αλλαγή στη δομή των οστών, ειδικά στο πρόσωπο και τα χέρια
- Διαταραχές εμμήνου ρύσεως
- Γαλακτόρροια
- Στυτική δυσλειτουργία
- Δυσανεξία στη θερμότητα
Αδένωμα υπόφυσης: Ποιοι διαφορετικοί τύποι υπάρχουν
Τα αδενώματα της υπόφυσης ταξινομούνται ανάλογα με το μέγεθός τους και το κατά πόσον εκκρίνουν ορμόνες ή όχι.
Ενδοκρινικά ενεργοί όγκοι υπόφυσης
Περίπου το 50% των αδενωμάτων παράγουν υπερβολικές ποσότητες μιας ή περισσότερων συγκεκριμένων ορμονών. Η υπερβολική έκκριση ορμονών μπορεί να προκαλέσει:
Νόσος Cushing
Λόγω υπερβολικών κορτικοστεροειδών στο σώμα, το σύνδρομο Cushing μπορεί να προκαλέσει μια σειρά από συμπτώματα, όπως:
- Παχυσαρκία στο πάνω μέρος του σώματος
- Στρογγυλό πρόσωπο
- Αυξημένο λίπος γύρω από τον λαιμό, ή λιπώδης “καμπούρα” μεταξύ των ώμων
- Αδύνατα/λεπτά χέρια και πόδια
- Εύθραυστη και λεπτή επιδερμίδα
- Ραγάδες στην κοιλιά, τους μηρούς, τους γλουτούς, τα χέρια και το στήθος
- Αδυναμία οστών και μυών
- Σοβαρή κόπωση
- Υψηλή πίεση του αίματος
- Υψηλό σάκχαρο στο αίμα
- Ευερεθιστότητα και άγχος
- Υπερβολική τριχοφυΐα προσώπου και σώματος στις γυναίκες
- Ακανόνιστος, ή σταματημένος έμμηνος κύκλος στις γυναίκες
- Μειωμένη σεξουαλική ορμή και γονιμότητα στους άνδρες
Ακρομεγαλία
Η υπερβολική ανάπτυξη έχει ως αποτέλεσμα τη διεύρυνση των άκρων, του προσώπου και των μαλακών ιστών. Η ακρομεγαλία μπορεί να σχετίζεται με υπέρταση, σακχαρώδη διαβήτη και καρδιαγγειακά νοσήματα. Οι ασθενείς με ακρομεγαλία έχουν μειωμένο προσδόκιμο ζωής.
Γαλακτόρροια
Αυτή η κατάσταση χαρακτηρίζεται από μη φυσιολογική παραγωγή γάλακτος από τους μαστικούς αδένες.
Αναπαραγωγικά προβλήματα, όπως υπογονιμότητα
Προλακτίνωμα
Είναι ένας τύπος όγκου της υπόφυσης που υπερπαράγει προλακτίνη. Η ορμόνη προλακτίνη διεγείρει την παραγωγή γάλακτος από τους μαστούς. Τα αδενώματα της υπόφυσης που εκκρίνουν προλακτίνη είναι ο πιο κοινός τύπος όγκου της υπόφυσης, αντιπροσωπεύοντας περίπου το 30% όλων των όγκων της υπόφυσης.
Ενδοκρινικά ανενεργοί όγκοι υπόφυσης
Οι ενδοκρινικά ανενεργοί όγκοι της υπόφυσης δεν παράγουν επιπλέον ορμόνες.
Μικροαδένωμα και Μακροαδένωμα
Τα μικροαδενώματα είναι αδενώματα της υπόφυσης που έχουν διάμετρο μικρότερη από 10 mm. Ένα αδένωμα υπόφυσης με διάμετρο μεγαλύτερη ή ίση με 10 mm ονομάζεται μακροαδένωμα.
Αδένωμα υπόφυσης: Διάγνωση
Ο γιατρός σας μπορεί να σας κάνει εξετάσεις αίματος, ούρων και απεικόνιση για τη διάγνωση αδενώματος της υπόφυσης. Οι εξετάσεις αίματος και ούρων μπορούν να ανιχνεύσουν μη φυσιολογικά επίπεδα ορμονών, όπως η προλακτίνη πλάσματος, η αυξητική ορμόνη, ο παρόμοιος με ινσουλίνη αυξητικός παράγοντας-1, η ελεύθερη θυροξίνη, η κορτιζόλη και η τεστοστερόνη. Μη φυσιολογικές ποσότητες ορισμένων ορμονών μπορεί να υποδηλώνουν ένα συγκεκριμένο σύνδρομο που σχετίζεται με την υπόφυση.
Ο γιατρός σας μπορεί επίσης να χρησιμοποιήσει βελτιωμένη τεχνολογία μαγνητικής τομογραφίας υψηλής ανάλυσης για να εντοπίσει μοναδικά χαρακτηριστικά ενός αδενώματος της υπόφυσης.

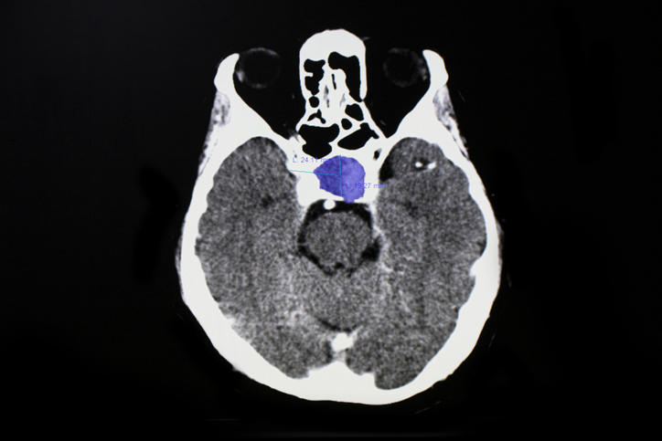
Αξονική τομογραφία εγκεφάλου ασθενούς με όγκο στην υπόφυση
Αδένωμα υπόφυσης: Θεραπείες
Η θεραπεία μπορεί να περιλαμβάνει συνδυασμό παρατήρησης, φαρμακευτικής αγωγής (συμπεριλαμβανομένης της ορμονοθεραπείας), ακτινοθεραπείας και χειρουργικής επέμβασης.
Παρατήρηση
Η παρατήρηση περιλαμβάνει επίσκεψη σε νευροχειρουργό ή ενδοκρινολόγο που μπορεί να συνταγογραφήσει ένα τακτικό πρόγραμμα απεικονιστικών εξετάσεων για τον έλεγχο της κατάστασης του όγκου. Εάν ο όγκος της υπόφυσης μεγαλώσει, ή εάν τα συμπτώματα επιδεινωθούν, μπορεί να χρειαστεί να ακολουθήσετε περαιτέρω θεραπεία.
Φαρμακευτική αγωγή
Η φαρμακευτική αγωγή (φαρμακοθεραπεία) μπορεί να είναι πολύ αποτελεσματική στη θεραπεία ορισμένων όγκων της υπόφυσης που παράγουν ορμόνες. Μπορεί να χρησιμοποιηθεί για να:
- Σταματήσετε έναν όγκο να παράγει υπερβολικές ορμόνες.
- Συρρικνώσετε τον όγκο ώστε να μην πιέζει την υπόφυση, ή άλλα μέρη του νευρικού συστήματος.
- Αντιμετωπίσετε έναν όγκο της υπόφυσης, ή να ελέγξτε τις ορμόνες μετά από χειρουργική επέμβαση, ή ακτινοθεραπεία.
- Αντικαταστήσετε τις ορμόνες που λείπουν, εάν ένας όγκος της υπόφυσης έχει μειώσει την ικανότητα του σώματος να παράγει τις απαραίτητες ορμόνες, ή εάν η παραγωγή ορμονών είναι πολύ χαμηλή μετά την επέμβαση (γνωστή και ως θεραπεία ορμονικής υποκατάστασης).
Ακτινοθεραπεία
Η ακτινοθεραπεία για όγκους της υπόφυσης περιλαμβάνει εξωτερική ακτινοθεραπεία και στερεοτακτική ακτινοχειρουργική. Μπορεί να χρειαστούν αρκετοί μήνες ώστε αυτές οι θεραπείες να βελτιώσουν τα συμπτώματα και τις καταστάσεις που σχετίζονται με το αδένωμα υπόφυσης.
Η ακτινοθεραπεία μπορεί να είναι κατάλληλη για αδενώματα της υπόφυσης που:
- Βρίσκονται σε περιοχές του εγκεφάλου, όπου η χειρουργική επέμβαση είναι πολύ επικίνδυνη
- Δεν μπορούν να αφαιρεθούν πλήρως κατά τη διάρκεια της επέμβασης
- Αναπτύσσονται γρήγορα
- Δεν συρρικνώνονται με φαρμακευτική αγωγή
- Επανεμφανίζονται μετά την επέμβαση
Μερικές φορές η ακτινοθεραπεία μπορεί να προκαλέσει τη διακοπή της λειτουργίας της υπόφυσης, ακόμη και χρόνια μετά τη θεραπεία. Σε αυτήν την περίπτωση, τα άτομα μπορεί να χρειαστεί να λάβουν συμπληρώματα ορμονών.
Χειρουργική επέμβαση
Η χειρουργική επέμβαση για την αφαίρεση ενός αδενώματος της υπόφυσης μπορεί σπανίως να απαιτήσει κρανιοτομή. Αλλά συνήθως περιλαμβάνει μια ελάχιστα επεμβατική διαδικασία, που ονομάζεται ενδορινική ενδοσκοπική χειρουργική, όπου ο χειρουργός αφαιρεί τον όγκο μέσω της μύτης.
Πηγή: https://www.hopkinsmedicine.org
φωτό: iStock
ΔΙΑΒΑΣΤΕ ΕΠΙΣΗΣ
Πότε η παρακεταμόλη επιδεινώνει την υπέρταση και αυξάνει τον κίνδυνο για καρδιακά κι εγκεφαλικό
Οι γυναίκες έως 35 ετών είναι 44% πιο πιθανό να πάθουν ισχαιμικό εγκεφαλικό
Η απώλεια δοντιών απειλεί τον εγκέφαλο: Τι αποκαλύπτει νέα μελέτη




