ΕΕ: «Πράσινο φως» σε νέο φάρμακο για την χρόνια μυελογενή λευχαιμία
Το νέο φάρμακο προορίζεται για ασθενείς, οι οποίοι έχουν προηγουμένως υποβληθεί σε θεραπεία με δύο ή περισσότερα φάρμακα από...
Το νέο φάρμακο προορίζεται για ασθενείς, οι οποίοι έχουν προηγουμένως υποβληθεί σε θεραπεία με δύο ή περισσότερα φάρμακα από...
Σε αυτό το άρθρο, εξετάζουμε διεξοδικά τις ομοιότητες και τις διαφορές μεταξύ της λευχαιμίας και του λεμφώματος.
Μία ομάδα φαρμάκων κατορθώνουν να διατηρούν σε ύφεση μια μορφή χρόνιας λευχαιμίας, ακόμα και όταν διακόπτεται η λήψη τους.
Τα νέα επιστημονικά δεδομένα επιτρέπουν ακόμα και την οριστική διακοπή θεραπείας για ορισμένους ασθενείς με Χρόνια Μυελογενή Λευχαιμία και...
Το φάρμακο Nilotinib της Novartis λαμβάνει έγκριση από την ΕΕ να συμπεριληφθούν τα δεδομένα ύφεσης χωρίς θεραπευτική αγωγή στην...
Η ελληνική φαρμακευτική εταιρεία GENESIS Pharma και η Incyte Biosciences International Sàrl, θυγατρική εταιρεία της Incyte Corporation στην Ευρώπη,...
Η κλινική μελέτη ENESTop πέτυχε στο πρωτεύον καταληκτικό της σημείο με το 57,9% των επιλέξιμων ασθενών που άλλαξαν την...
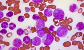
Η Χρόνια Μυελογενής Λευχαιμία είναι μια νεοπλασία-κακοήθεια του αιμοποιητικού συστήματος που χαρακτηρίζεται από μυελική υπερπλασία, πολυσταδιακή εξέλιξη σε διακριτές...