Αν νιώσετε αυτά, ίσως έχετε εκκολπωματίτιδα: Ποιες οι πιθανές επιπλοκές
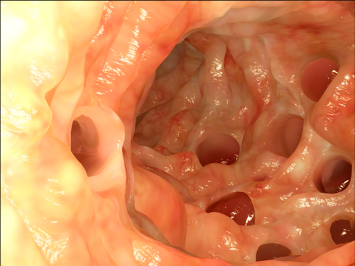
Τα εκκολπώματα είναι μικρά, διογκωμένα “σακουλάκια” που μπορεί να σχηματιστούν στην εσωτερική επένδυση των εντέρων του πεπτικού σας συστήματος. Βρίσκονται συνήθως στο κάτω μέρος του παχέος εντέρου. Τα εκκολπώματα είναι κοινά, ειδικά μετά την ηλικία των 40 ετών και σπάνια να προκαλούν σοβαρά προβλήματα.
Μερικές φορές, ωστόσο, ένα ή περισσότερα από αυτά τα “σακουλάκια” παθαίνουν φλεγμονή, ή μολύνονται. Αυτή κατάσταση είναι γνωστή ως εκκολπωματίτιδα. Η εκκολπωματίτιδα μπορεί να προκαλέσει έντονο κοιλιακό πόνο, πυρετό, ναυτία και μια σημαντική αλλαγή στις κινήσεις του εντέρου σας.
Η ήπια εκκολπωματίτιδα μπορεί να αντιμετωπιστεί με την ανάπαυση, με αλλαγές στη διατροφή και με αντιβιοτική φαρμακευτική θεραπεία. Η σοβαρή ή επαναλαμβανόμενη μορφή της νόσου μπορεί να χρειαστεί ακόμα και χειρουργική επέμβαση.
Εκκολπωματίτιδα: Συμπτώματα
- Πόνο, ο οποίος μπορεί να είναι σταθερός και διαρκής και να συνεχιστεί για αρκετές ημέρες. Ο πόνος είναι συνήθως αισθητός στην κάτω αριστερή πλευρά της κοιλιάς, αλλά μπορεί να εμφανιστεί στα δεξιά, ειδικά σε άτομα ασιατικής καταγωγής.
- Ναυτία και έμετος
- Πυρετός
- Ευαισθησία στην περιοχή της κοιλιάς
- Δυσκοιλιότητα ή, λιγότερο συχνά, διάρροια

Εικονογράφηση τμήματος παχέος εντέρου με εκκολπώματα
Εκκολπωματίτιδα: Πιθανές επιπλοκές
Περίπου το 25% των ασθενών με την οξεία μορφή της νόσου αναπτύσσουν επιπλοκές, που μπορεί να παρουσιάσουν:
- Ένα απόστημα, το οποίο συμβαίνει ότι υπάρχει πύον μέσα στο “σακουλάκι” του εκκολπώματος.
- Μια απόφραξη του παχέος εντέρου ή του λεπτού εντέρου που προκαλείται από ουλές.
- Ένα μη φυσιολογικό συρίγγιο μεταξύ τμημάτων του εντέρου ή μεταξύ του εντέρου και της ουροδόχου κύστης.
- Περιτονίτιδα, η οποία μπορεί να προκύψει, εάν το μολυσμένο ή με φλεγμονή “σακουλάκι” (θύλακας) διαρραγεί και το υγρό περάσει στην κοιλιακή κοιλότητα. Η περιτονίτιδα είναι μια επείγουσα ιατρική κατάσταση και απαιτεί άμεση ιατρική επίβλεψη.




