Ψηφιακή τομοσύνθεση: «Ανοιχτό βιβλίο» ο μαστός χωρίς επικίνδυνα μυστικά
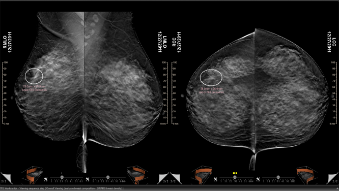
«Σε 99% ανέρχεται το ποσοστό ακρίβειας της ψηφιακής τομοσύνθεσης, της τελευταίας εξέλιξης στην ψηφιακή μαστογραφία, για την έγκαιρη διάγνωση...
«Σε 99% ανέρχεται το ποσοστό ακρίβειας της ψηφιακής τομοσύνθεσης, της τελευταίας εξέλιξης στην ψηφιακή μαστογραφία, για την έγκαιρη διάγνωση...