Τι κάνουν οι διάσημοι για να αποκτήσουν τέλειο χαμόγελο
Τη σημασία του τέλειου χαμόγελου γνωρίζουν πάρα πολύ καλά οι διάσημοι που επενδύουν πολλά στην απόκτηση και τη διατήρησή...
Τη σημασία του τέλειου χαμόγελου γνωρίζουν πάρα πολύ καλά οι διάσημοι που επενδύουν πολλά στην απόκτηση και τη διατήρησή...
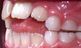
Πολλοί και διαφορετικοί λόγοι έχουν ενοχοποιηθεί που τα δόντια σε ορισμένους ανθρώπους φυτρώνουν στραβά.Έτσι παρατηρείται συχνά το φαινόμενο το...