Τα υπερεπεξεργασμένα τρόφιμα αλλοιώνουν το μυϊκό σύστημα – Ευρήματα σοκ από νέα μελέτη
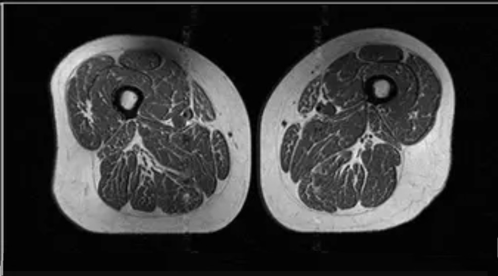
Η ένθετη φωτογραφία που παρατίθεται στη συνέχεια του κειμένου θυμίζει έντονα μπριζόλα πλούσια σε λεπτές λωρίδες λίπους. Στην πραγματικότητα όμως είναι η μαγνητική τομογραφία του μηρού μιας 62χρονης γυναίκας η οποία λατρεύει τα υπερεπεξεργασμένα τρόφιμα.
Η γυναίκα αυτή προσλαμβάνει το 87% των ημερήσιων θερμίδων της από πρόχειρα φαγητά, όπως κρύα δημητριακά πρωινού, μπάρες σοκολάτας, αναψυκτικά και εμφιαλωμένα ροφήματα με ζάχαρη.
Η ύπαρξη τόσο πολύ λίπους ανάμεσα στις μυϊκές ίνες του μηρού δεν είναι καλή ένδειξη, λένε οι ειδικοί. Και αυτό διότι αυξάνει τον κίνδυνο οστεοαρθρίτιδας στο γόνατο.
«Η συσσώρευση λίπους στους μυς αλλοιώνει την δομή τους και τον τρόπο με τον οποίο οι μύες ασκούν πιέσεις», εξηγεί ο Dr. Christopher Fry, καθηγητής στο Τμήμα Αθλητικής Προπόνησης & Κλινικής Διατροφής του Πανεπιστημίου του Κεντάκυ. «Αυτό αλλάζει τον τρόπο με τον οποίο τα γόνατα απορροφούν τις πιέσεις από τους μηριαίους μυς, καθώς αυτοί κινούν τα πόδια. Η συνέπεια είναι να διασπώνται οι χόνδροι που επιστρώνουν την άρθρωση του γόνατος και να αναπτύσσεται αρθρίτιδα».
Τα υπερεπεξεργασμένα τρόφιμα αποτελούνται από επεξεργασμένα συστατικά των ολόκληρων τροφίμων, στα οποία προστίθενται διάφορες ουσίες για να αυξηθεί η διάρκεια ζωής και η ελκυστικότητά τους (π.χ. η γεύση, η μυρωδιά). Κατά κανόνα είναι πλούσια σε λίπη, ζάχαρη ή/και αλάτι και σχετίζονται με πολλαπλά προβλήματα υγείας.
Τώρα, επιστήμονες από τις ΗΠΑ θέλησαν να εξακριβώσουν εάν και πως σχετίζονται με την οστεοαρθρίτιδα στο γόνατο. Στη σχετική μελέτη ενέταξαν 615 εθελοντές, μέσης ηλικίας 60 ετών. Οι 340 ήσαν γυναίκες. Οι άνθρωποι αυτοί κατανάλωναν από υπερεπεξεργασμένα τρόφιμα το 41,4% των ημερήσιων θερμίδων τους, κατά μέσον όρο.

Radiological Society of North America (RSNA)
Τα ευρήματα
Όπως γράφουν οι ερευνητές στην ιατρική επιθεώρηση Radiology, όλοι οι συμμετέχοντες διέτρεχαν αυξημένο κίνδυνο να εκδηλώσουν οστεοαρθρίτιδα στο γόνατο. Και αυτό διότι είτε έπασχαν από παχυσαρκία ή υπερβαρότητα, είτε είχαν ιστορικό τραυματισμού στα γόνατα.
Οι ερευνητές κατέγραψαν τον δείκτη μάζας σώματος (ΔΜΣ) όλων των εθελοντών τους. Ανέλυσαν επίσης τη διατροφή τους και τους υπέβαλλαν σε μαγνητική τομογραφία μηρών. Το συνολικώς 65% των συμμετεχόντων ήσαν υπέρβαροι. Το περίπου 24% ήσαν παχύσαρκοι.
Ωστόσο οι μαγνητικές τομογραφίες έδειξαν πως το ενδομυϊκό λίπος στους μηρούς δεν επηρεαζόταν από το σωματικό βάρος τους. Ούτε έπαιζαν ρόλο οι θερμίδες που κατανάλωναν καθημερινή ή η άσκηση που έκαναν. Αυτό που ήταν καθοριστικό ήταν τα υπερεπεξεργασμένα τρόφιμα που έτρωγαν.
Στην πραγματικότητα, όσοι έτρωγαν συστηματικά τις μεγαλύτερες ποσότητες από αυτά, είχαν περισσότερο λίπος στους μυς των μηρών τους.
Το εύρημα αυτό εξέπληξε τους ερευνητές. «Νομίζαμε ότι θα έπαιζε ρόλο η παχυσαρκία ή έστω η συσσώρευση λίπους στην περιοχή της κοιλιάς. Όμως ανακαλύψαμε κάτι εντελώς διαφορετικό», δήλωσε ο επιβλέπων ερευνητής Dr. Thomas Link, καθηγητής Ακτινολογίας στο Πανεπιστήμιο της Καλιφόρνια στο Σαν Φρανσίσκο (UCSF).
Τα ευρήματα αυτά είναι ιδιαιτέρως ανησυχητικά, πρόσθεσε. Και αυτό διότι οι συγκεκριμένοι εθελοντές δεν είχαν ακόμα αναπτύξει οστεοαρθρίτιδα. Είχαν όμως ήδη τεθεί οι βάσεις για να την παρουσιάσουν κάποια στιγμή.
Τα καλά νέα είναι ότι η συσσώρευση ενδομυϊκού λίπους είναι αναστρέψιμη. Απαιτεί όμως κατανάλωση ολόκληρων τροφίμων και λιγότερων υπερεπεξεργασμένων, τόνισε ο Dr. Link. Η άσκηση επίσης μπορεί να βοηθήσει, αλλά πρέπει να είναι χαμηλής πρόσκρουσης. Και επειδή το ενδομυϊκό λίπος δεν συσσωρεύεται σε ένα βράδυ, οι αλλαγές αυτές πρέπει να διαρκέσουν σε βάθος χρόνου.
Κεντρική φωτογραφία: iStock




