Iatropedia

Novartis: Ελπίδα στον ασθενή με Χρόνια Μυελογενή Λευχαιμία

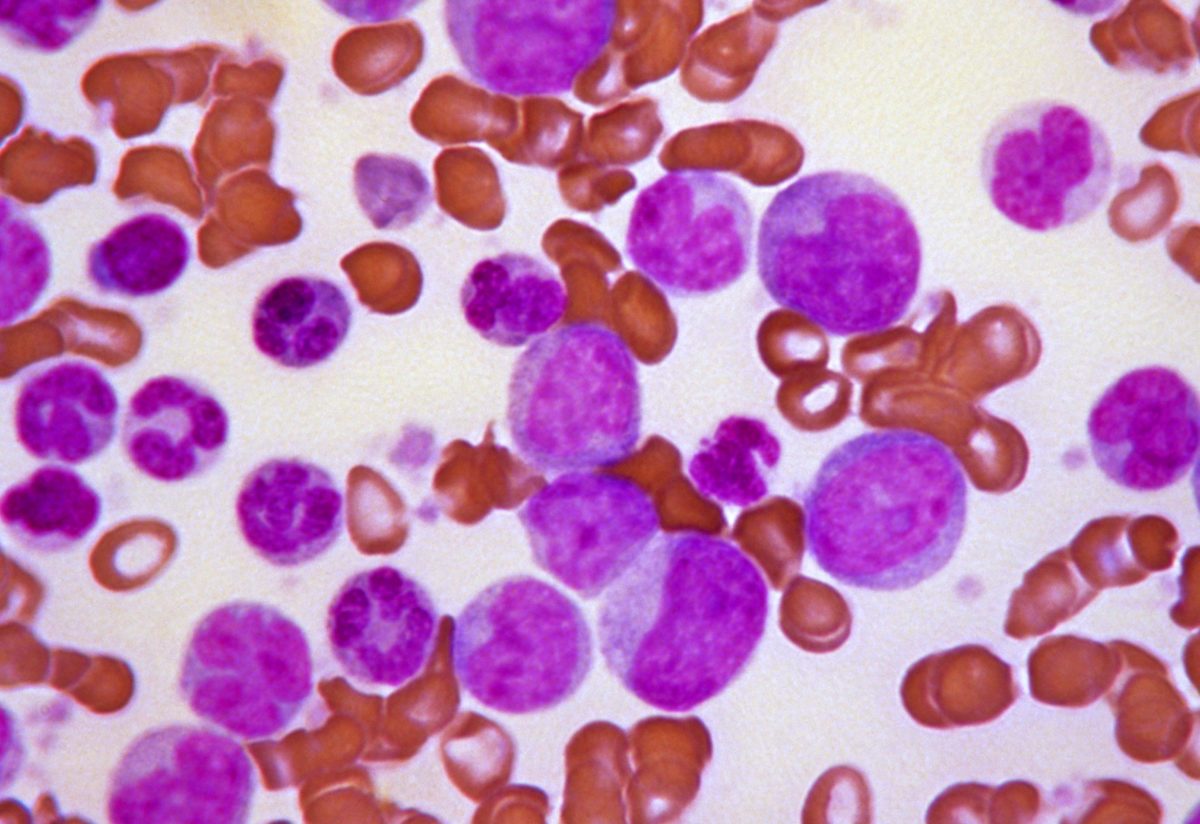
1994 Stacy Howard Blast crisis of chronic myelogenous leukemia (CML). Peripheral blood smear revealing the histopathologic features indicative of a blast crisis in the case of chronic myelogenous leukemia.

Η κλινική μελέτη ENESTop πέτυχε στο πρωτεύον καταληκτικό της σημείο με το 57,9% των επιλέξιμων ασθενών που άλλαξαν την αγωγή τους από Imatinib σε Nilotinib, να διατηρούν την ύφεση άνευ θεραπείας (TFR) επί 48 εβδομάδες μετά τη διακοπή της θεραπείας.

Η Novartis ανακοίνωσε δεδομένα τα οποία δείχνουν ότι περισσότεροι από το 50% των επιλέξιμων ασθενών με Ph+ CML (θετική στο χρωμόσωμα Φιλαδέλφειας (Ph+) χρόνια μυελογενή λευχαιμία (ΧΜΛ) παραμένουν σε κατάσταση ύφεσης άνευ αγωγής (TFR), μετά τη διακοπή του Nilotinib. Στην κλινική μελέτη ENESTfreedom, 51,6% των επιλέξιμων ασθενών που λάμβαναν ως θεραπεία πρώτης γραμμής Nilotinib διατήρησαν σε ύφεση τη νόσο μετά τη διακοπή της αγωγής (TFR), επί 48 εβδομάδες. Η μελέτη δεν πέτυχε το πρωτεύον καταληκτικό της σημείο και συγκεκριμένα > 50% του κατώτατου ορίου βαθμού εμπιστοσύνης 95%.

Τα πρώτα αυτά αποτελέσματα του κλινικού προγράμματος βοηθούν στην καλύτερη κατανόηση της TFR και μπορούν να διευκολύνουν στην εξεύρεση και καθιέρωση ξεκάθαρων κριτηρίων σχετικά με το ποιοι ασθενείς με Ph+ CML, θα έχουν τη δυνατότητα να σταματούν εντελώς τη θεραπείας τους , στο μέλλον.

Η Novartis εκφράζει την ευγνωμοσύνη της στους ασθενείς που συμμετείχαν στις σημαντικές αυτές κλινικές δοκιμές, οι οποίες βοηθούν να γίνει περισσότερο κατανοητή η εν λόγω ύφεση. Στην 52η Ετήσια Συνάντηση της Αμερικανικής Εταιρείας Κλινικής Ογκολογίας (ASCO), η Novartis ανακοίνωσε τα πρώτα αποτελέσματα από το πρόγραμμα κλινικής δοκιμής Ύφεσης χωρίς Θεραπευτική Αγωγή (TFR) με Nilotinib.

Οι μελέτες αυτές αξιολόγησαν τη δυνατότητα διατήρησης της μοριακής ανταπόκρισης (MR) μετά τη διακοπή της θεραπείας σε ενήλικες ασθενείς με θετική στο χρωμόσωμα Φιλαδέλφειας (Ph+) χρόνια μυελογενή λευχαιμία [ΧΜΛ] σε χρόνια φάση, οι οποίοι είχαν επιτύχει παρατεταμένη βαθύτερη μοριακή απόκριση με το σκεύασμα Nilotinib – πρόκειται για μια έννοια που ονομάζεται TFR. Τα ευρήματα από δύο ανοιχτές κλινικές μελέτες, την ENESTfreedomκαι την ENESTop, έδειξαν ότι περισσότεροι από το 50% των Ph+ ασθενών με ΧΜΛ που πληρούσαν τα αυστηρά προκαθορισμένα κριτήρια ανταπόκρισης των δοκιμών κατάφεραν να διατηρήσουν την ύφεση χωρίς θεραπευτική αγωγή (TFR) μετά τη διακοπή του σκευάσματος Nilotinib, είτε αυτό δινόταν ως θεραπεία πρώτης γραμμής, είτε δινόταν μετά από αρχική αγωγή με Imatinib*1,2. Υπό εξέλιξη βρίσκονται συζητήσεις με τις ρυθμιστικές αρχές με πιθανές υποβολές εντός του 2016.Τα αποτελέσματα από τη μελέτη ENESTfreedom έδειξαν ότι περισσότεροι από τους μισούς (51,6%) των 190 ασθενών με ΧΜΛ (βαθμός εμπιστοσύνης [CI] 95%: 44.2%%-58.9%%) που πέτυχαν παρατεταμένη βαθύτερη μοριακή ανταπόκριση τριών τουλάχιστον ετών με θεραπευτική αγωγή πρώτης γραμμής με Nilotinib κατάφεραν να διακόψουν την αγωγή τους και να παραμείνουν σε κατάσταση TFR για χρονικό διάστημα 48 εβδομάδων.

Η ENESTfreedom δεν πέτυχε το πρωτεύον καταληκτικό της σημείο το οποίο αφορά στο ποσοστό ασθενών σε μείζονα μοριακή ανταπόκριση (MMR, BCR-ABL1 IS ≤ 0,1%) στις 48 εβδομάδες σε κατάσταση TFR, σύμφωνα με την αρχική στατιστική υπόθεση ότι το κατώτατο όριο βαθμού εμπιστοσύνης 95% θα ήταν ίσο με ή μεγαλύτερο από 50%1. Η μέση διάρκεια θεραπευτικής αγωγής στην εν λόγω δοκιμή ήταν 3.6 έτη, που αποτελεί βραχύ διάστημα έκθεσης στον αναστολέα της τυροσινικής κινάσης (TKI) πριν από την απόπειρα επίτευξης TFR. Από τους 86 ασθενείς που ξανάρχισαν θεραπευτική αγωγή μεNilotinib λόγω απώλειας της μείζονος μοριακής απόκρισης (MMR), 98.8% κατάφεραν να την επανακτήσουν (n=85) και 88.4% κατάφεραν να επανακτήσουν μοριακή ανταπόκριση(MR) 4,5 (BCR-ABL1IS ≤ 0,0032%, n=76)1. Την εβδομάδα 7.9 και 15.0 μετά την επανένταξη σε θεραπευτική αγωγή με Nilotinib, 50% των επαναθεραπευόμενων ασθενών είχαν ήδη επιτύχει MMR και MR4.5 αντιστοίχως. Ένας ασθενής διέκοψε τη μελέτη στις 7.1 εβδομάδες χωρίς επανάκτηση MMR μετά την επανέναρξη της θεραπευτικής αγωγής με Nilotinib1.“Η ENESTfreedom αποτελεί την πρώτη μελέτη που δείχνει ότι, μετά από βραχεία θεραπευτική αγωγή με nilotinib που διήρκησε 3.6 έτη, πάνω από 50% των ασθενών που διέκοψαν την αγωγή κατάφεραν να παραμείνουν χωρίς θεραπεία για διάστημα 48 εβδομάδων”, δήλωσε ο Δρ. Andreas Hochhaus, Επικεφαλής του Τμήματος Αιματολογίας και Ιατρικής Ογκολογίας στο Πανεπιστημιακό Νοσοκομείο Jena στη Γερμανία και κεντρικός ερευνητής στη μελέτη ENESTfreedom. “Τα ευρήματα από τις δοκιμές nilotinib TFR έρχονται να προστεθούν στον υφιστάμενο όγκο ερευνητικών δεδομένων που διερευνούν τη διακοπή θεραπευτικής αγωγής με αναστολέα της τυροσινικής κινάσης σε ασθενείς με ΧΜΛ και είναι πιθανόν να βοηθήσουν να καθιερωθούν ασφαλή και κατάλληλα κριτήρια ώστε οι επιλέξιμοι ασθενείς να είναι σε θέση να παύσουν την θεραπευτική αγωγή.

” Η ENESTop, η δεύτερη κλινική δοκιμή TFR της Novartis στην ASCO, αξιολόγησε 126 ασθενείς που κατάφεραν να επιτύχουν παρατεταμένη βαθύτερη μοριακή ανταπόκριση μεNilotinib, όταν αυτό δόθηκε ως δεύτερης γραμμής θεραπεία μετά από μη επίτευξη ΜΜRυπό Imatinib2. Στη μελέτη αυτή, σχεδόν 6 στους 10 (57.9%) ασθενείς (βαθμός εμπιστοσύνης 95% CI: 48.8%-66.7%) που επέτυχαν παρατεταμένη βαθύτερη μοριακή ανταπόκριση μετά από τρία τουλάχιστον έτη θεραπευτικής αγωγής με Nilotinib, διατήρησαν τη μοριακή απόκριση επί 48 εβδομάδες μετά τη διακοπή της αγωγής. Η μελέτη πέτυχε το πρωτεύον καταληκτικό της σημείο ως προς το ποσοστό ασθενών χωρίς επιβεβαιωμένη απώλεια μοριακής απόκρισης MR4,0 (BCR-ABL1 IS ≤ 0,01%) ήMMR εντός 48 εβδομάδων από τη διακοπή της αγωγής με Nilotinib στη φάση της TFR. Στη μελέτη, 51 ασθενείς με επιβεβαιωμένη απώλεια MR4,0 ή απώλεια MMR ξανάρχισαν την αγωγή με Nilotinib. Από αυτούς τους ασθενείς, 98.0% (n=50) επανέκτησαν τουλάχιστον MMR, με 94.1% (n=48) και 92.27% (n=47) επανέκτησαν MR4,0 και MR4,5 ,αντιστοίχως. Την εβδομάδα 12.0 και 13.1 μετά την επανένταξη της θεραπευτικής αγωγής με Nilotinib, 50% των επαναθεραπευόμων ασθενών είχαν ήδη επιτύχει MR4.0 andMR4.5 αντιστοίχως². Ένας ασθενής μπήκε στη φάση επανέναρξης της θεραπευτικής αγωγής, αλλά δεν επανέκτησαν MMR μέχρι το πέρας 20 εβδομάδων και διέκοψε τη μελέτη. Η πρωτεΐνη BCR-ABL1 για τον εν λόγω ασθενή ήταν 62.2% κατά το χρόνο επανέναρξης της θεραπευτικής αγωγής με Nilotinib και 9.8% κατά την έξοδο από τη μελέτη.“Η Novartis πρωτοστατεί στις εξελίξεις που αφορούν στη θεραπευτική αγωγή και κατανόηση της ΧΜΛ εδώ και 20 χρόνια”, σύμφωνα με τον Alessandro Riva, MD, GlobalHead, Novartis Oncology Development and Medical Affairs. “Η διερεύνηση της TFR σε ασθενείς που αντιμετωπίστηκαν με Nilotinib, μέσα από την υποστήριξη οκτώ μελετώνTFR, αποτελεί το επόμενο βήμα στη δέσμευσή μας να προαγάγουμε τη φροντίδα μας προς ασθενείς που ζουν με αυτή τη νόσο.”Και οι δύο μελέτες βρίσκονται σε εξέλιξη με προγραμματισμένη διάρκεια παρατήρησης με στόχο να αξιολογηθεί η ικανότητα των ασθενών να διατηρήσουν την ύφεση για μεγαλύτερα χρονικά διαστήματα μετά τη διακοπή της αγωγής με Nilotinib.

Πρόκειται για τις πρώτες παρουσιάσεις δεδομένων από το πρόγραμμα κλινικών δοκιμών Nilotinib TFR της Novartis. Σημαντικό μέρος των μελετών της Nilotinib TFR αφορά την τακτική και συχνή μοριακή παρακολούθηση με καλώς επικυρωμένη δοκιμασία ικανή να μετρήσει τα επίπεδα μεταγραφής του (υβριδικού) γονιδίου BCR-ABL μέχρις επιπέδου MR. Η συχνή παρακολούθηση των ασθενών κατά τη φάση TFR επιτρέπει τον έγκαιρο καθορισμό απώλειας MR4,0 και MMR και της ανάγκης για έναρξη θεραπευτικής αγωγής. Στις εν λόγω μελέτες δεν έχουν παρατηρηθεί νέα μείζονα ευρήματα ασφαλείας σε ασθενείς που αντιμετωπίστηκαν με Nilotinib πέραν εκείνων του γνωστού προφίλ ασφαλείας του σκευάσματος Nilotinib.

Στη μελέτη ENESTfreedom, 24.7% των ασθενών παρουσίασαν μυοσκελετικό άλγος κατά το πρώτο έτος της κατάστασης TFR σε σύγκριση με ποσοστό 16.3% που παρουσίασαν παρόμοιο άλγος ενώ λάμβαναν ακόμη Nilotinibστην διάρκεια της ετήσιας φάσης εδραίωσης. Στη μελέτη ENESTop, τα ποσοστά όλων των σταδίων μυοσκελετικού άλγους ήταν 42.1% κατά το πρώτο έτος της κατάστασης TFRέναντι 14.3% κατά τη διάρκεια λήψης Nilotinib στη φάση εδραίωσης. Κανένας ασθενής δεν προχώρησε στην επιταχυνόμενη φάση/βλαστική κρίση στις δύο μελέτες. Η διακοπή της θεραπευτικής αγωγής ΧΜΛ δεν αποτελεί επί του παρόντος κλινική σύσταση και πρέπει να την αποπειράται κανείς μόνο μέσα στα πλαίσια κλινικής μελέτης.Η διακοπή της θεραπευτικής αγωγής στις μελέτες ENESTfreedom και ENESTop έγινε υπό συνθήκες δοκιμών σε ασθενείς που πληρούσαν τα αυστηρά προκαθορισμένα κριτήρια που είχαν τεθεί. Η αφοσίωση της Novartis στην ΧΜΛ Η Novartis υποστηρίζει οκτώ μελέτες ως μέρος του προγράμματος κλινικής δοκιμής TFR,το οποίο περιλαμβάνει τις ENESTfreedom και ENESTop, καθώς και δύο εν εξελίξει επιχορηγούμενες υπό της εταιρείας μελέτες κατάστασης TFR και τέσσερεις μελέτες που ξεκίνησαν από ερευνητές οι οποίες βρίσκονται σήμερα σε εξέλιξη σε περισσότερα από 100 σημεία του πλανήτη σε 40 χώρες. Τις τελευταίες δεκαετίες, η έρευνα της Novartisστον τομέα της Ph+ ΧΜΛ έχει βοηθήσει να μεταβληθεί η λευχαιμία από μοιραία σε χρόνια κατάσταση, ενώ η εταιρεία συνεχίζει σήμερα τη μακροχρόνια αφοσίωσή της στην παγκόσμια κοινότητα ασθενών με ΧΜΛ. Η Novartis παρακολουθεί τα επιστημονικά δεδομένα και στηρίζεται σε αποδεδειγμένα στοιχεία ώστε να διερευνήσει ποια θα μπορούσε να είναι η επόμενη σημαντική συμβολή της στη θεραπευτική αγωγή της Ph+ΧΜΛ μέσω των εν λόγω δοκιμών TFR καθώς και μέσω των υπό διερεύνηση χημικών ενώσεων.