Iatropedia

Ψηφιακή τομοσύνθεση: «Ανοιχτό βιβλίο» ο μαστός χωρίς επικίνδυνα μυστικά

«Σε 99% ανέρχεται το ποσοστό ακρίβειας της ψηφιακής τομοσύνθεσης, της τελευταίας εξέλιξης στην ψηφιακή μαστογραφία, για την έγκαιρη διάγνωση του καρκίνου του μαστού», όπως επισημαίνει ο κ. Πέτρος Μαλακάσης, ειδικός ακτινοδιαγνώστης μαστού, διευθυντής του Κέντρου Μαστού της Ευρωκλινικής Αθηνών και της ψηφιακής τομοσύνθεσης και διάγνωσης.

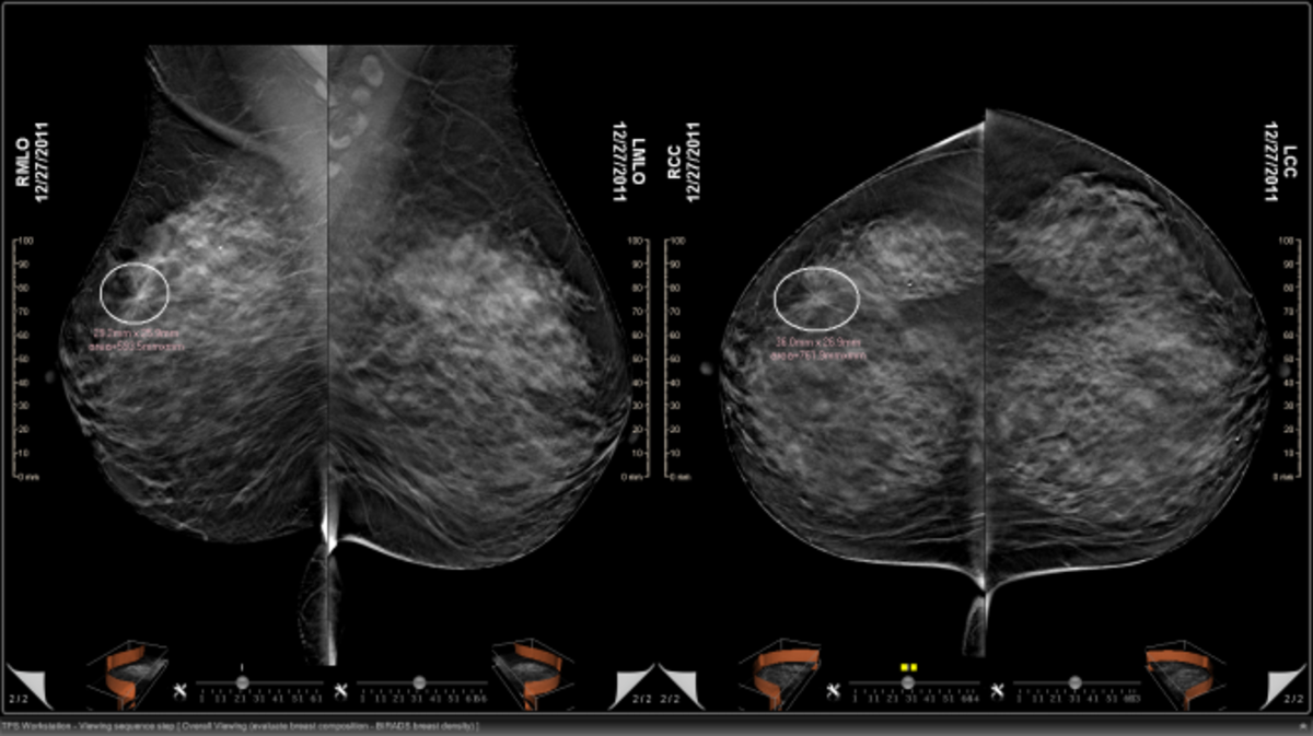
Με την τεχνολογία της τομοσύνθεσης, (Digital Breast Tomosynthesis) ο μαστός απεικονίζεται με πολλαπλές λεπτές τομές του ενός χιλιοστού, στοιχείο που δεν επιτρέπει σε τίποτα να διαφύγει του ελέγχου. «Με αυτόν τον τρόπο», τονίζει ο κ. Μαλακάσης, «η μαστογραφία αποδεικνύεται η πιο αξιόπιστη εξέταση για τη γυναίκα, ακόμα και στις περιπτώσεις πολύ πυκνών μαστών, οι οποίοι ‘’ευθύνονται’’ για το συχνό φαινόμενο της ψευδούς αρνητικής διάγνωσης σε πρώιμο στάδιο».

«Παράλληλα», συνεχίζει, «το μεγάλο πρόβλημα με την κλασική μαστογραφία είναι ότι όταν πιέζεται ο μαστός κατά την εξέταση, τα διάφορα στοιχεία που περιέχει συμπιέζονται το ένα πάνω στο άλλο, με αποτέλεσμα καμιά φορά να διαφύγει, λόγω επικάλυψης κατά την εξέταση, κάποιο, ενδεχόμενα πολύ σημαντικό από αυτά».

Υπενθυμίζεται ότι η τομοσύνθεση, είναι μία καινούργια τρισδιάστατη (3D) τεχνολογία απεικόνισης μαστού, με υψηλότερη διαγνωστική ακρίβεια στη διάγνωση των παθήσεων του μαστού, έναντι της κλασικής μαστογραφίας, καθώς έχει τη δυνατότητα να ξεχωρίζει τα ύποπτα ευρήματα, τα οποία οδηγούν στην ανεύρεση και της πλέον μικρής βλάβης.

«Η όλη διαδικασία της ψηφιακής τομοσύνθεσης, έχει πολύ χαμηλό επίπεδο ακτινοβολίας το οποίο είναι περίπου ίδιο με την ακτινοβολία που δέχεται κάποιος μετά από 2ωρη ηλιοθεραπεία, ενώ προσομοιάζει με τη μελέτη των σελίδων ενός βιβλίου, σε αντίθεση με την απλή ψηφιακή μαστογραφία, με την οποία απλά βλέπεις το εξώφυλλο» καταλήγει ο κ.Μαλακάσης.