Iatropedia

Καταρράκτης: Μοναδική θεραπεία χωρίς χειρουργείο

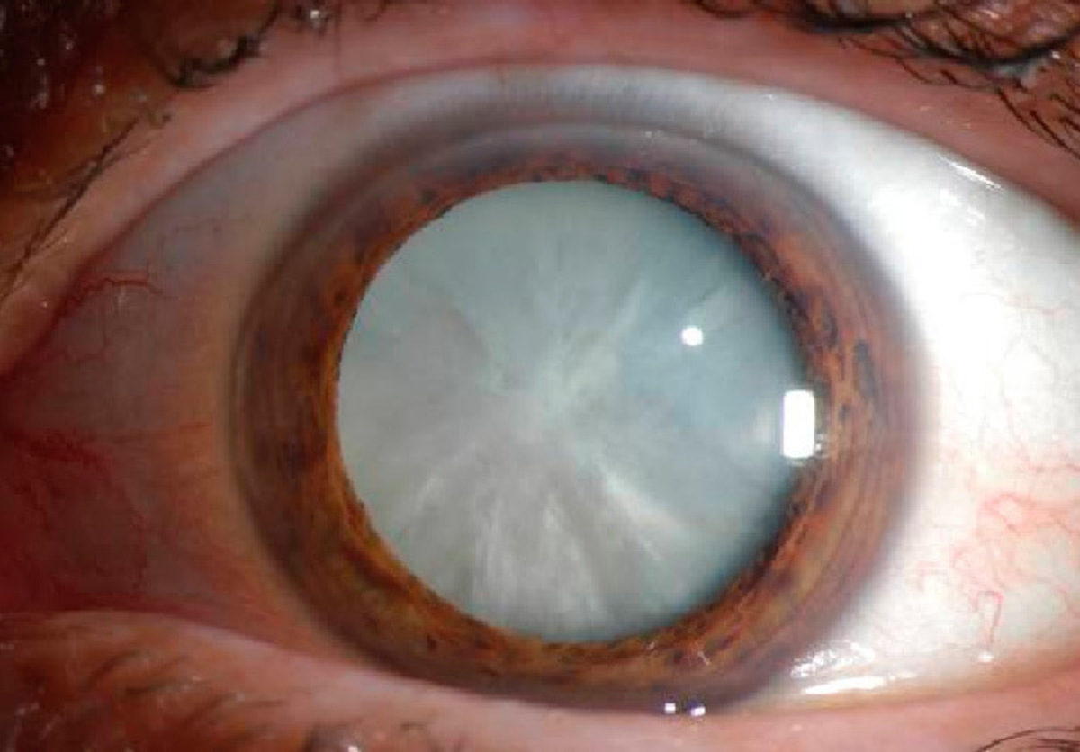
Είναι γνωστό ότι σταγόνες από ειδικό κολλύριο μπορούν να συρρικνώσουν τον καταρράκτη σε σκύλους, οπότε γιατί να μην μπορούν να το κάνουν και σε ανθρώπους; Με αυτό το ερώτημα ως “έμπνευση” ερευνητές από το πανεπιστήμιο της Καλιφόρνια στο Σαν Ντιέγκο των ΗΠΑ έκαναν το πρώτο βήμα για την δημιουργία ενός φαρμάκου που θα μπορεί να θεραπεύσει ή ακόμη και να προλάβει τον καταρράκτη στα ανθρώπινα μάτια.

Η ιδέα επικεντρώνεται γύρω από ένα κολλύριο με στεροειδείς ουσίες. Με επικεφαλής την μοριακή βιολόγο Ling Zhao, οι επιστήμονες αρχικά παρατήρησαν ότι τα παιδιά με γενετικά κληρονομική μορφή καταρράκτη μοιράζονταν μια γονιδιακή μετάλλαξη που σταματούσε την παραγωγή της λανοστερόλης (lanosterol), η οποία αποτελεί σημαντικό φυσικό στεροειδές στο σώμα. Όταν οι γονείς τους δεν έχουν την ίδια μετάλλαξη, τότε ως ενήλικες παρήγαγαν κανονικά λανοστερόλη και δεν είχαν καταρράκτη.

Μόνο το 2000 έγιναν περίπου 12 εκατομμύρια επεμβάσεις για καταρράκτη σε όλο τον κόσμο. Ο αριθμός αυτός θα ανέλθει στα 32 εκατομμύρια μέχρι το 2020, σύμφωνα με τον Παγκόσμιο Οργανισμό Υγείας. Αυτός ο αριθμός θα συνεχίσει να ανεβαίνει καθώς ο πληθυσμός ωριμάζει ηλικιακά, πολλαπλασιάζοντας τις επεμβάσεις για καταρράκτη για τα επόμενα 20 έτη ακόμα.

Οι ερευνητές εξέτασαν τους οφθαλμούς σκύλων και κουνελιών που είχαν καταρράκτη ή όχι, εντόπισαν το αν είχαν λανοστερόλη στον οργανισμό τους και το πώς αντιδρούσε ο φακός του ματιού τους στο κολλύριο για τον κατρράκτη που είναι ήδη διαθέσιμο για ζώα. Σε κάθε περίπτωση, διαπίστωσαν ότι η παρουσία λανοστερόλης συνόδευε ριζικά βελτιωμένη όραση.

Η λανοστερόλη ανταποκρίνεται στις προσδοκίες των επιστημόνων, επειδή φαίνεται πως διαλύει τις μεταλλαγμένες πρωτεΐνες που θολώνουν το φακό, αφαιρώντας τις διάφανες πρωτεΐνες, που ονομάζονται κρυστάλλινη.

Το να μεταφερθεί αυτή η θεραπεία στους ανθρώπους απαιτεί περισσότερες προκλινικές έρευνες, μια διαδικασία που ως επί το πλείστον παίρνει χρόνια. Η θεραπεία θα μπορούσε να δοθεί ως προληπτικό μέσο για εκείνους που έχουν αυξημένο κίνδυνο εκδήλωσης καταρράκτη ή ακόμα και -θεωρητικά- να αντιστρέψει τους καταρράκτες που έχουν ήδη εκδηλωθεί.

Η έρευνα δημοσιεύθηκε στην επιστημονική επιθεώρηση Nature.

http://www.esbtrib.com/

ΔΙΑΒΑΣΤΕ ΕΠΙΣΗΣ

Το χρώμα των ματιών μπορεί να είναι δείκτης προβλημάτων υγείας

“Κριθαράκι” στο μάτι: Αίτια και αντιμετώπιση