Iatropedia

Η πρώτη ρομποτική λοβεκτομή θώρακα στην Ελλάδα

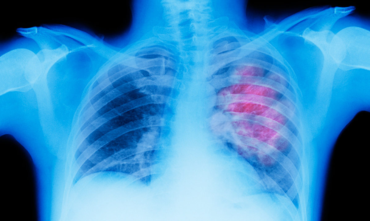
Η επέμβαση περιελάμβανε λοβεκτομή και συστηματικό λεμφαδενικό καθαρισμό σε ασθενή με καρκίνο του αριστερού άνω λοβού πνεύμονος.

Η πρώτη στην Ελλάδα επέμβαση ρομποτικής λοβεκτομής θώρακα, πραγματοποιήθηκε στο Ιατρικό Διαβαλκανικό Θεσσαλονίκηςαπό το Διευθυντή της Θωρακοχειρουργικής Κλινικής, Δρ. Δημήτριο Φιλίππου και την ομάδα του. Για την εφαρμογή της ρομποτικής τεχνικής είχαν συνηγορήσει οι ενδείξεις του προεγχειρητικού ελέγχου, ενώ τα ιστολογικά αποτελέσματα, επιβεβαίωσαν την ορθότητα της απόφασης.

Η ρομποτική λοβεκτομή σημειώνει σημαντικά πλεονεκτήματα σε σχέση με την ανοιχτή θωρακοτομή διότι:

-Διενεργείται με ελάχιστα επεμβατικό τρόπο (διά μέσου οπών).
-Προσφέρει μέγιστη δυνατή προστασία των ιστών, μικρότερο μετεγχειρητικό πόνο, ελάχιστη απώλεια αίματος, μειωμένη παραμονή στο νοσοκομείο και καλύτερο αισθητικό αποτέλεσμα.

Με αυτόν τον τρόπο, επιτυγχάνεται καλύτερη μετεγχειρητική ποιότητα ζωής για τους ασθενείς μετεγχειρητικά.