Iatropedia

Καρκίνος του πνεύμονα: Δείτε όλα τα βήματα της θεραπείας

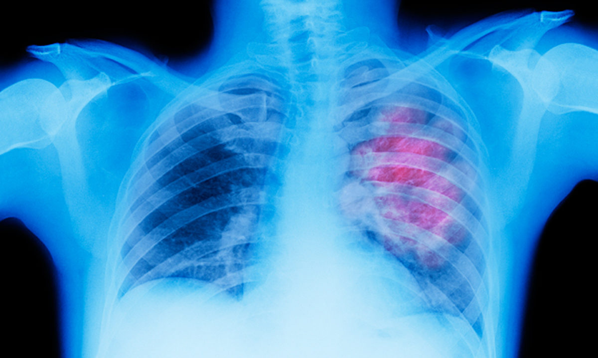
Ο καρκίνος του πνεύμονα αποτελεί την πρώτη αιτία θανάτου στους άντρες, ενώ στις γυναίκες τείνει να ξεπεράσει σε συχνότητα το καρκίνο του μαστού. Ταυτόχρονα, αποτελεί την πιο θανατηφόρα μορφή καρκίνου, με ποσοστά θνησιμότητας που αγγίζουν το 30%. Πως αντιμετωπίζεται; Ποια είναι η θεραπεία; Απαντήσεις στο επιστημονικό άρθρο που ακολουθεί.

Του Παναγιώτη Παντελάκου Ακτινοθεραπευτή Ογκολόγου

Ο όρος «καρκίνος του πνεύμονα» ή «βρογχογενής καρκίνος» αναφέρεται στη διαδικασία ανάπτυξης και σχηματισμού κακοήθους όγκου στην περιοχή των πνευμόνων, και αποτελεί την πρώτη αιτία θανάτου στους άντρες, ενώ στις γυναίκες τείνει να ξεπεράσει σε συχνότητα το καρκίνο του μαστού.

Ταυτόχρονα, αποτελεί την πιο θανατηφόρα μορφή καρκίνου, με ποσοστά θνησιμότητας που αγγίζουν το 30%. Δεν υπάρχει αμφιβολία σήμερα ότι το κάπνισμα ευθύνεται για όλους τους τύπους του καρκίνου του πνεύμονος εκτός από έναν, το αδενοκαρκίνωμα. Ο κίνδυνος του καρκίνου του πνεύμονα έχει άμεση σχέση με τον αριθμό των τσιγάρων που καταναλώνονται καθημερινά. Ένα άτομο που καπνίζει ένα πακέτο τσιγάρα την ημέρα, επί πολλά χρόνια, έχει 30 φορές μεγαλύτερη πιθανότητα να πάθει καρκίνο από ένα μη καπνιστή.

Ένα στα επτά άτομα που καπνίζουν περισσότερα από δύο πακέτα τσιγάρα ημερησίως, θα πεθάνει από καρκίνο του πνεύμονα. Ο κίνδυνος του καρκίνου μειώνεται σημαντικά μετά τη διακοπή του καπνίσματος. Τελευταία αναφέρεται ο όρος «παθητικός καπνιστής». Πράγματι έχει αποδειχθεί ότι τα άτομα που δεν καπνίζουν και ζουν με καπνιστές έχουν μεγαλύτερη πιθανότητα να προσβληθούν από τη νόσο.

Ποια είναι η κύρια αιτιολογία του καρκίνου του πνεύμονα;

Ποιοι είναι οι κύριοι παράγοντες κινδύνου;

1. Κάπνισμα: είναι το κυριότερο αίτιο και ευθύνεται σχεδόν για το 85% των κακοηθών νεοπλασμάτων του πνεύμονα. Ο καπνός περιέχει πολλές καρκινογόνες ουσίες, που αλλοιώνουν το χαρακτήρα των κυττάρων τα οποία με το πέρασμα του χρόνου μπορούν να γίνουν καρκινικά. Όσο πιο πολύ καπνίζει κανείς τόσο πιο πολύ κινδυνεύει από τον καρκίνο.

2. Ηλικία: ο κίνδυνος προσβολής από τον καρκίνο αυτό αυξάνεται με την πρόοδο της ηλικίας. Άτομα ηλικίας άνω των 70 ετών έχουν 300 φορές μεγαλύτερη συχνότητα εμφάνισης της νόσου από άτομα ηλικίας μικρότερης των 30 ετών.

3. Φύλο: οι άνδρες προσβάλλονται συχνότερα από τις γυναίκες.

4. Κληρονομικότητα: υπάρχουν ενδείξεις ότι τα άτομα που έχουν συγγένεια πρώτου βαθμού με πάσχοντες από καρκίνο του πνεύμονα διατρέχουν μεγαλύτερο κίνδυνο να προσβληθούν από τον καρκίνο αυτόν από ότι ο υπόλοιπος πληθυσμός.

5. Δίαιτα: δίαιτα φτωχή σε βιταμίνες Α, Β και καροτίνη αυξάνει τη συχνότητα της νόσου.

6. Ακτινοβολία: η συχνή έκθεση σε ακτινοβολία προκαλεί καρκίνο του πνεύμονα.

7. Επάγγελμα: έχει παρατηρηθεί αύξηση της συχνότητας της νόσου σε ορισμένα επαγγέλματα, όπως μάγειρες, αρτεργάτες, οικοδόμοι, υδραυλικοί, οδηγοί φορτηγών, άνθρωποι που ασχολούνται με δέρματα και εργάτες αμίαντου.

8. Ατμοσφαιρική ρύπανση: είναι γνωστή η αύξηση της συχνότητας της νόσου στους πληθυσμούς που ζουν στις μεγάλες πόλεις με υψηλή ατμοσφαιρική ρύπανση.

Η θεραπευτική αντιμετώπιση εξαρτάται από την έκταση της νόσου. Γενικά, οι τρεις κλασικοί τρόποι θεραπείας (χειρουργική, χημειοθεραπεία, ακτινοθεραπεία) δίνουν πολλές φορές καλά αποτελέσματα μέχρι και πλήρη ίαση, όταν η νόσος βρίσκεται σε αρχικά στάδια.

Χειρουργική

Οι κυριότερες χειρουργικές τεχνικές αφαίρεσης ενός όγκου είναι οι εξής:

Σφηνοειδής εκτομή Αφαιρείται ένα μικρό τμήμα του πνεύμονα που περιέχει τον όγκο μαζί με ένα περιθώριο του υγιούς ιστού

Τμηματική εκτομή Αφαιρείται ένα μεγαλύτερο τμήμα του πνεύμονα, αλλά όχι όλος ο λόβος.

Λοβεκτομή Αφαιρείται όλος ο λοβός του ενός πνεύμονα

Πνευμονεκτομή Αφαιρείται όλος ο πνεύμονας.

Παράληλλα μπορεί να αφαιρεθούν και λεμφαδένες προκειμένου να αυτοί να ελεγχθουν για ύπαρξη νόσου.

Οι κυριότερες παρενέργειες της χειρουργικής του πνεύμονα είναι η αιμορραγία και η λοίμωξη. Αναμείνετε να αισθανθείτε δύσπνοια μετά από χειρουργική επέμβαση πνεύμονα.

Χημειοθεραπεία

Η χημειοθεραπεία χρησιμοποιεί φάρμακα για να σκοτώσει τα καρκινικά κύτταρα. Ένα ή περισσότερα φάρμακα χημειοθεραπείας μπορεί να δοθούν ενδοφλέβια ή λαμβάνονται από το στόμα. Η χημειοθεραπεία δίνεται σε τακτά χρονικά διαστήματα με ενδιάμεσα διαλείμματα, ώστε να μπορεί ο ασθενής να ανακτήσει τις δυνάμεις του.

Μπορεί να δοθεί μετά από τη χειρουργική επέμβαση για να μειώσει την πιθανότητα μεταστάσεων ή πρίν από αυτή με σκοπό να μειωθεί το μέγεθος του όγκου και να μπορέσει ο ασθενής να υποβληθεί σε χειρουργική αφαίρεση.

Σε ορισμένες περιπτώσεις η χημειοθεραπεία χρησιμοποιείται για να ανακουφίσει συμπτώματα πόνου και να προσφέρει ανακούφιση σε προχωρημένα στάδια της νόσου.

Ακτινοθεραπεία

Η ακτινοθεραπεία χρησιμοποιεί υψηλής ενέργειας ακτίνες Χ, για να σκοτώσει τα καρκινικά κύτταρα. Οι κυριότερες τεχνικές ακτινοθεραπείας που χρησιμοποιούνται είναι η εξωτερική ακτινοθεραπεία που αποτελείται από τη τρισδιάστατη σύμμορφο ακτινοθεραπεία (3D-CRT), τη διαμορφούμενης έντασης ακτινοθεραπεία ( IMRT) και την απεικονιστικά καθοδηγούμενη ακτινοθεραπεία( IGRT).Σε όγκους σταδίου Ι,ΙΙ χρησιμοποιείται η στερεοτακτική ακτινοθεραπεία με αποτελέσματα ισάξια της χειρουργικής αφαίρεσης. Αυτή η μορφή της ακτινοβολίας στοχεύει πολλές ακτίνες ακτινοβολίας από διαφορετικές γωνίες στο καρκίνο του πνεύμονα. Η θεραπεία ολοκληρώνεται σε 1-3 συνεδρίες.

Ενδείξεις ακτινοθεραπείας

1. Προεγχειρητική ακτινοθεραπεία: χρησιμοποιείται για τη σμίκρυνση του όγκου, ώστε να γίνει η χειρουργική αφαίρεση του εύκολη.

2. Μετεγχειρητική ακτινοθεραπεία: εφαρμόζεται μετά τη χειρουργική αφαίρεση του όγκου. Η σκοπιμότητά της είναι η αποστείρωση της περιοχής από τυχόν υπολειμματικά καρκινικά κύτταρα.

3. Ριζική ακτινοθεραπεία Επιλέγεται σαν αρχική θεραπεία σε χειρουργήσιμη νόσο σταδίων Ι,ΙΙ,ΙΙΙ σε ασθενείς που δεν είναι εφικτό ή αρνούνται να υποβληθούν σε χειρουργική αφαίρεση. Σε όγκους τοπικά προχωρημένους σταδίου ΙΙΙ με ή χωρίς νόσο στους λεμφαδένες.η ακτινοθεραπεία είναι πολύ αποτελεσματική, ιδιαίτερα όταν συνδυάζεται με τη χημειοθεραπεία, ιδίως σε άτομα που πάσχουν από μη μικροκυτταρικό καρκίνο του πνεύμονα.

3.Ανακουφιστική ακτινοθεραπεία Για ασθενείς με προχωρημένο καρκίνο του πνεύμονα, η θεραπεία με ακτινοβολία μπορεί να χρησιμοποιηθεί για την ανακούφιση του πόνου και άλλων συμπτωμάτων.

Παρενέργειες ακτινοθεραπείας

Οι κυριότερες παρενέργειες της ακτινοθεραπείας κυρίως όταν αυτή συνδυάζεται με χημειοθεραπεία είναι η πνευμονίτιδα(φλεγμονή του πνευμονικόυ παρεγχύματος),η πνευμονική ίνωση και η οξεία οισοφαγίτιδα .Σε ένα μεγάλο ποσοστό οι παρενέργειες της ακτινοθεραπείας αντιμετωπίζονται με συντηρητική αγωγή.

Στοχευμένες θεραπείες

Οι επονομαζόμενες «στοχευμένες» θεραπείες περιλαμβάνουν φαρμακευτικές αγωγές ειδικά σχεδιασμένες για την καταστροφή του καρκινικού όγκου και των καρκινικά προσβεβλημένων κυττάρων. Για το λόγο αυτό, προσβάλλουν μικρότερο ποσοστό υγιούς ιστού και συνεπώς, προκαλούν πολύ λιγότερες παρενέργειες.

Βevacizumab (Avastin). Συνήθως χρησιμοποιείται σε συνδυασμό με χημειοθεραπεία και έχει εγκριθεί για προχωρημένο και υποτροπιάζοντα μη μικροκυτταρικό καρκίνο του πνεύμονα. Το Bevacizumab ενέχει τον κίνδυνο αιμορραγίας, θρόμβων αίματος και υψηλή αρτηριακή πίεση.

Εrlotinib (Tarceva). Η ερλοτινίμπη αναστέλλει χημικές ουσίες που σηματοδοτούν τα καρκινικά κύτταρα να αναπτύσσονται και να διαιρούνται. Εχει εγκριθεί για άτομα με προχωρημένο και υποτροπιάζοντα μη μικροκυτταρικό καρκίνο του πνεύμονα που έχει μια συγκεκριμένη γενετική μετάλλαξη. Κατά την ιστολογική εξέταση ανιχνεύεται η συγκεκριμένη μετάλλαξη και τότε το συγκεκριμένο φάρμακο είναι πιθανό να βοηθησει στην αντιμετώπιση του καρκίνου .Οι κυριότερες παρενέργειες είναι δερματικό εξάνθημα και διάρροιες.

Crizotinib (Xalkori). Έχει εγκριθεί για χρήση σε ανθρώπους με προχωρημένο μη-μικροκυτταρικό καρκίνο του πνεύμονα του οποίου τα καρκινικά κύτταρα φέρουν μια συγκεκριμένη γενετική μετάλλαξη. Οι παρενέργειες περιλαμβάνουν ναυτία και προβλήματα όρασης, όπως διπλωπία ή θολή όραση.

Παναγιώτης Παντελάκος Ακτινοθεραπευτής- Ογκολόγος,

Διδάκτωρ Πανεπιστημίου Αθηνών

http://www.iatropoli.gr/gr/

http://www.actino-oncology.com/