Iatropedia

Διαβήτης: Σοκ από τις συνέπειες στην στοματική υγεία των ασθενών

Ο διαβήτης επηρεάζει ολόκληρο τον οργανισμό και γι’ αυτό έχει συνέπειες σε πολλά και διαφορετικά όργανα και ιστούς, από την καρδιά, τα μάτια, τα νεύρα και τους νεφρούς μέχρι τη στοματική κοιλότητα.

«Οι συνέπειες της νόσου στη στοματική υγεία του ασθενούς είναι άμεσες, διότι είναι εύκολο ένας διαβητικός να παρουσιάσει φλεγμονώδη ούλα και λοιμώξεις. Επίσης μπορεί να παρουσιάσει ξηροστομία και στοματίτιδα, δηλαδή φλεγμονή στο στόμα εξαιτίας μυκητίασης», λέει η Δρ. Δέσποινα Κωστομοίρη, χειρουργός-οδοντίατρος ειδικευμένη στην Αισθητική Οδοντιατρική και διευθύντρια της Κλινικής Athens Life Smile.

«Επιπλέον, η πρόκληση ουλίτιδας και περιοδοντίτιδας είναι ευκολότερη στους διαβητικούς ασθενείς απ’ ό,τι στους υγιείς συνομήλικους τους, επειδή τα αυξημένα επίπεδα σακχάρου επηρεάζουν τα αιμοφόρα αγγεία και δημιουργούν διαταραχές στο κυκλοφορικό σύστημα, με αποτέλεσμα την στένωση των αρτηριών και έτσι την μειωμένη τροφοδοσία των ιστών με αίμα».

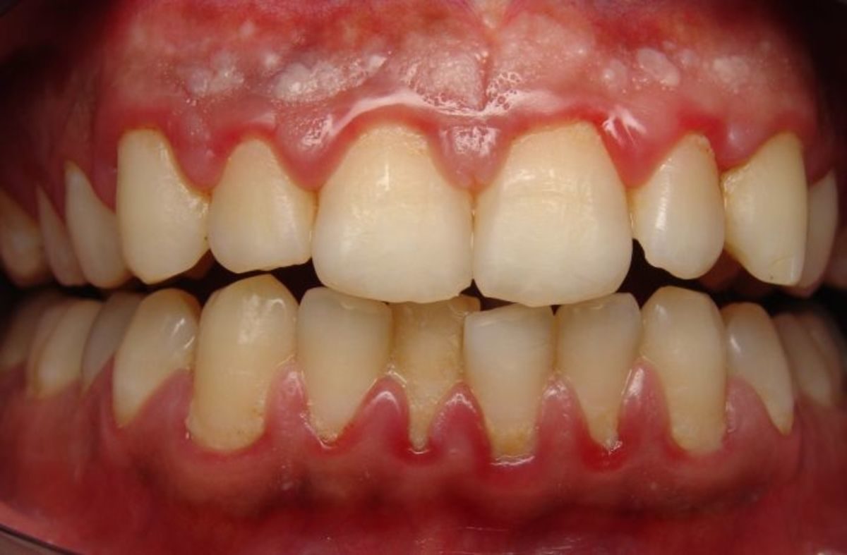
Μία άλλη συνέπεια των αυξημένων επιπέδων γλυκόζης (σακχάρου) στο αίμα είναι ότι συμβάλλει στην ανάπτυξη βακτηρίων, με συνέπεια να ευνοείται η ανάπτυξη βλαβών στα ούλα.
Η ουλίτιδα χαρακτηρίζεται από ερυθρότητα, ευαισθησία και αιμορραγία κατά το βούρτσισμα, αλλά πολλές φορές και χωρίς βούρτσισμα ή καθαρισμό με οδοντικό νήμα.

Πρόληψη

Για την πρόληψή της «απαιτείται συστηματικός καθαρισμός από τον οδοντίατρο (κάθε 6 μήνες ή και συχνότερα, ανάλογα με την βαρύτητα του περιστατικού) και καθημερινός καθαρισμός από τον ασθενή με βούρτσισμα και οδοντικό νήμα», τονίζει η Δρ. Κωστομοίρη. Απαραίτητος είναι ακόμα ο καλός γλυκαιμικός έλεγχος, δηλαδή η ρύθμιση των επιπέδων σακχάρου στο αίμα, διότι τα άτομα με αρρύθμιστο διαβήτη παθαίνουν ουλίτιδα πιο συχνά και η φλεγμονή στα ούλα τους είναι πιο σοβαρή απ’ ό,τι στα άτομα με ελεγχόμενο διαβήτη.

Περιοδοντίτιδα και ουλίτιδα

Η περιοδοντίτιδα είναι η προχωρημένη ουλίτιδα η οποία, πέραν των χαρακτηριστικών της ουλίτιδας, σχετίζεται επίσης με απώλεια του οστού και κατά συνέπεια της στήριξης του δοντιού . Με άλλα λόγια, «εκτός από την φλεμονή των ούλων, στα χαρακτηριστικά γνωρίσματα της περιοδοντίτιδας συμπεριλαμβάνεται η μικρότερη ή μεγαλύτερη κινητικότητα των δοντιών και η αλλαγή της σχέσης των δοντιών της επάνω γνάθου με εκείνα της κάτω γνάθου (σύγκλειση)», επισημαίνει η ειδικός. «Μάλιστα, πολλές φορές λόγω της μετακίνησης των δοντιών παρουσιάζεται αραιοδοντία και πολλάκις λόγω της μεγάλης κινητικότητας υπάρχει και απώλεια του δοντιού, διότι έχει χαθεί το οστούν που στήριζε το δόντι ή τα δόντια».

Και συνεχίζει:

«Πρέπει να διευκρινιστεί ότι ο διαβήτης δεν αποτελεί την αιτία της ουλίτιδας και της περιοδοντίτιδας, αλλά σίγουρα ένας διαβητικός ασθενής είναι πιο ευπρόσβλητος στις φλεγμονές των ούλων και του περιοδοντίου. Και σίγουρα στον ασθενή αυτόν η κακή στοματική υγιεινή και η έλλειψη συχνών επισκέψεων στον οδοντίατρο είναι πολύ περισσότερο επιβαρυντικός παράγοντας όχι μόνο για την στοματική υγεία αλλά και για τον ίδιο τον διαβήτη, σε σχέση με ένα φυσιολογικό ασθενή».

Στην πραγματικότητα, η περιοδοντική νόσος αποτελεί την πιο συχνή οδοντική νόσο στα άτομα με διαβήτη, καθώς προσβάλλει το σχεδόν 22% από αυτούς, σύμφωνα με την Αμερικανική Οδοντιατρική Ομοσπονδία (ADA). Και σαν να μην έφταναν αυτά, όπως συμβαίνει με όλες τις λοιμώξεις, έτσι και η ουλίτιδα και η περιοδοντική νόσος μπορεί να οδηγήσουν σε αύξηση των επιπέδων σακχάρου, με συνέπεια να δυσχεραίνεται η αντιμετώπιση του διαβήτη και η ικανότητα του οργανισμού να καταπολεμήσει την ανάπτυξη βακτηρίων.

Επομένως, «η καλή υγεία του στόματος δεν εξασφαλίζει μόνο ένα άριστο και υγιές χαμόγελο, αλλά στην περίπτωση των ατόμων με διαβήτη συνηγορεί υπέρ της γενικότερης υγείας τους», υπογραμμίζει η Δρ. Κωστομοίρη.

Γι’ αυτούς τους λόγους, κάθε άτομο με διαβήτη πρέπει να κάνει τα εξής για την προάσπιση όχι μόνο της υγείας του στόματός του, αλλά και της γενικότερης υγείας του:

* Απαραιτήτως αιματολογικές εξετάσεις σε ετήσια βάση, εκτός εάν ο θεράπων ιατρός ορίζει κάτι διαφορετικό λόγω του διαβήτη.

* Καθημερινό βούρτσισμα και καθαρισμός με οδοντικό νήμα (ιδανικά ύστερα από κάθε γεύμα).

* Κάθε 6 μήνες επίσκεψη στον οδοντίατρο. Εκτός κι αν ο διαβήτης συνοδεύεται από φλεγμονές των ούλων ή περιοδοντικά προβλήματα, οπότε ο ειδικευμένος οδοντίατρος πρέπει να έχει πλήρη επικοινωνία με τον ενδοκρινολόγο ιατρό για την συχνότητα των επισκέψεων στον οδοντίατρο.

* Καλή ρύθμιση των επιπέδων σακχάρου, με βάση τις οδηγίες του εξειδικευμένου στον διαβήτη ιατρού. Ο καλός γλυκαιμικός έλεγχος βοηθεί τον οργανισμό να καταπολεμήσει τυχόν βακτηριακές ή μυκητιασικές λοιμώξεις του στόματος, ενώ καταπολεμά την ξηροστομία που προκαλείται από τον διαβήτη.

* Αποφυγή του καπνίσματος.

* Εάν το άτομο φορά τεχνητή οδοντοστοιχία, πρέπει να την καθαρίζει καθημερινά.

«Στόχος του οδοντιάτρου για το άτομο με διαβήτη, πολύ περισσότερο απ’ ό,τι για τους υγιείς, είναι η καταπολέμηση κάθε φλεγμονής των ούλων και του περιοδοντίου», λέει η Δρ Κωστομοίρη.
Και καταλήγει: «Η στοματική υγεία είναι ο καθρέφτης της υγείας του ανθρώπου.

Ο οδοντίατρος οφείλει να είναι σε εγρήγορση και σε θέση να κάνει σωστή διάγνωση στον ασθενή του όχι μόνον για τα δόντια και την στοματική του υγεία αλλά και για γενικότερα νοσήματα του οργανισμού που πολλές φορές έχουν εκδηλώσεις στην στοματική κοιλότητα. Δεν αρκεί μόνο να θεραπεύσουμε ένα δόντι που πονάει ή έχει πρηστεί ή έχει κινητικότητα. Είναι ουσιαστικής σημασίας η πρόληψη και η σωστή διάγνωση όχι μόνο για την στοματική υγεία αλλά και για την γενικότερη υγεία του οργανισμού».