Iatropedia

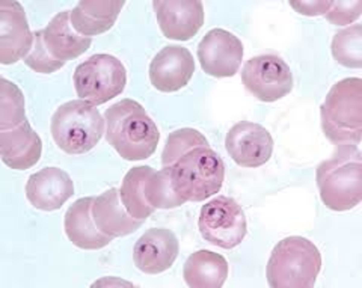
«Βακτηριδιακός» πόλεμος κατά της ελονοσίας!

Οι επιστήμονες προσανατολίζονται τώρα στην καταπολέμηση της ελονοσίας με «όπλο» μια νέα κατηγορία γενετικώς τροποποιημένων βακτηρίων ενός γένους που βρέθηκε σε κουνούπια-φορείς της νόσου.

Η ανακάλυψη δύο νέων βακτηρίων του γένους Thorsellia σε προνύμφες κουνουπιού του είδους Anopheles arabiensis, ενός από τους πιο σημαντικούς φορείς του παρασίτου της ελονοσίας στις χώρες της υποσαχάριας Αφρικής, έβαλε στους επιστήμονες την ιδέα να εξαπολύσουν… βακτηριδιακό πόλεμο εναντίον της νόσου. Ερευνητές από την Σουηδία, την Γερμανία και την Αυστρία υποστηρίζουν σε σχετική μελέτη που δημοσιεύεται στην Διεθνή Επιθεώρηση Συστηματικής και Εξελικτικής Μικροβιολογίας ότι τα δύο νέα στελέχη που βρέθηκαν (Thorsellia kenyensis και Thorsellia kandunguensis) μπορούν να χρησιμοποιηθούν ως όπλο για να αναχαιτιστεί η ελονοσία καθώς εντοπίσθηκαν αποκλειστικά σε κουνούπια που μεταδίδουν την μαλάρια στην Κένυα.

Όπως διεπίστωσαν, τα βακτήρια του γένους Thorsellia εξελίχθηκαν μαζί με τα κουνούπια-φορείς της νόσου για πολύ μεγάλο χρονικό διάστημα, αναπτύσσοντας ιδιότητες που τους επιτρέπουν να ζουν στον οργανισμό των κουνουπιών. Τώρα οι ερευνητές εξετάζουν πώς θα μπορούσαν να τροποποιήσουν γενετικώς τα συγκεκριμένα βακτήρια ώστε να παράγουν ουσίες που να εμποδίζουν την ανάπτυξη του παρασίτου της ελονοσίας μέσα στα κουνούπια. Σύμφωνα με τον Sebastian Håkansson, ερευνητή στο Τμήμα Μικροβιολογίας του σουηδικού Πανεπιστημίου Αγροτικών Επιστημών της Ουψάλα, η χρήση βακτηρίων που σχετίζονται μόνο με τα έντομα που μεταδίδουν ελονοσία μειώνει τον κίνδυνο γενετικώς τροποποιημένοι μικροοργανισμοί να καταλήξουν σε λάθος μέρος στην Φύση.

ΔΙΑΒΑΣΤΕ ΕΠΙΣΗΣ:

Ελονοσία και κουνούπια: γιατί η νόσος εξαπλώνεται, παγκοσμίως

Το πρώτο εμβόλιο της ελονοσίας