Iatropedia

Τοκετός καταγεγραμμένος για 1η φορά από μαγνητικό τομογράφο. ΒΙΝΤΕΟ

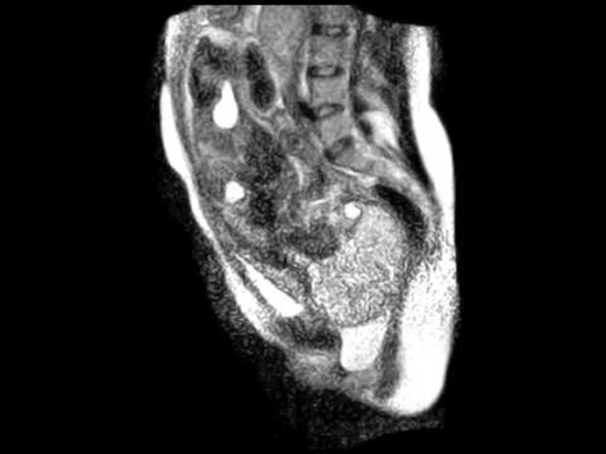
Το βίντεο που θα παρακολουθήσετε είναι εξαιρετικά σπάνιο. Σπάνιο από την άποψη ότι για πρώτη φορά στα χρονικά καταγράφεται μέσω μαγνητικού τομογράφου, η διαδικασία ενός τοκετού. Μια 24χρονη μανούλα δέχτηκε όταν ο γυναικολόγος της, της πρότεινε να πάρει μέρος σε κάτι που για πρώτη φορά στα χρονικά θα γινόταν. Θα καταγραφόταν ο τοκετός με έναν ειδικά τροποποιημένο μαγνητικό τομογράφο.

Όλα συνέβησαν σε μαιευτική κλινική του Βερολίνου. Ο γυναικολόγος της μανούλας Fridrich Guttler, συνέδεσε τον μαγνητικό τομογράφο και κατέγραψε τη γέννηση όπως ακριβώς θα την δείτε. Μπορείτε να διακρίνετε τις συσπάσεις της μήτρας αλλά και τη στιγμή που βγαίνει το μωρό. Οι γιατροί εκεί σταμάτησαν την καταγραφή προκειμένου το νεογέννητο να μην ακούσει τον θόρυβο του μαγνητικού.

Δείτε το βίντεο

ΔΕΙΤΕ ΕΠΙΣΗΣ:

Έτσι είμαστε στην κοιλιά της μητέρας μας. ΣΠΑΝΙΕΣ ΦΩΤΟ

Η αισιόδοξη πλευρά της ζωής, χωρίς χέρια και πόδια. ΒΙΝΤΕΟ

Δείτε πως λειτουργεί σχολείο για τυφλά παιδιά στις ΗΠΑ. ΒΙΝΤΕΟ

Παιδικός καταρράκτης; Και όμως αντιμετωπίζεται

Γιατί υπερηφανευόμαστε για τις ερωτικές μας επιδόσεις

Ήθελε τα τέλεια οπίσθια, αλλά κατέληξε δίχως πόδια. ΦΩΤΟ